
Anti-SLC22A6 Rabbit pAb
- 100 μL
产品信息
|
蛋白质全称 |
溶质载体家族22成员6 |
|
别名 |
HOAT1, hPAHT, hROAT1, OAT1, Organic anion transporter 1, PAH transporter, PAHT, ROAT1, SLC22A6, Nkt, mROAT1, Novel kidney transcript |
|
Uniprot ID |
Q8VC69 |
|
免疫原 |
KLH偶联的小鼠SLC22A6合成肽 |
|
抗体亚型 |
IgG |
|
预测分子量./观测分子量. |
60 kDa / 80 kDa |
|
纯化方式 |
亲和纯化 |
|
亚细胞定位 |
细胞膜 |
应用
| 应用 | 物种 | 稀释 | 阳性样品 |
| WB 免疫印迹 | 小鼠 | 1: 1000-1: 2000 | 肾 |
| IHC/IF 免疫组织化学/免疫荧光 | 小鼠, 大鼠 | 1: 2000-1: 4000 | 肾 |
背景
OAT1, also named as SLC22A6, has two motifs in its transmembrane which is associated with protein processing and oligomerization of other proteins. OAT1 is involved in the renal elimination of endogenous and exogenous organic anions. It has been reported that OAT1 plays a key role in clearing endogenous metabolites, toxins and drugs from blood.
图像
|
|
WB检测SLC22A6蛋白(货号 YB113701). 样品: 经RIPA裂解液(货号Y2013)处理的蛋白质. 封闭: 3%脱脂牛奶(货号YC310012)溶于TBST溶液, 室温孵育1小时. —抗: 1: 2000稀释, 4℃ 孵育过夜. 二抗: HRP标记山羊抗兔IgG (H+L) (货号YB23314), 1: 5000稀释, 室温孵育1小时. |
|
|
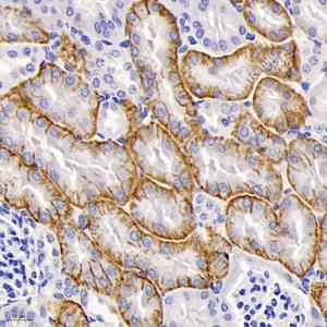
IHC检测SLC22A6蛋白(货号 YB113701). 样品: 小鼠肾, 4%多聚甲醛 (货号Y1112) 固定12-24小时. 抗原修复: 柠檬酸抗原修复液(干粉, pH 6.0) (Y1212), 98℃, 20分钟. —抗: 1: 3000稀释, 4℃ 孵育过夜. 二抗: HRP标记山羊抗兔IgG (H+L) (货号YB23314), 1: 200稀释, 室温孵育1小时. |
|
|
IHC检测SLC22A6蛋白(货号 YB113701). 样品: 大鼠肾, 4%多聚甲醛 (货号Y1112) 固定12-24小时. 抗原修复: 柠檬酸抗原修复液(干粉, pH 6.0) (Y1212), 98℃, 20分钟. —抗: 1: 3000稀释, 4℃ 孵育过夜. 二抗: HRP标记山羊抗兔IgG (H+L) (货号YB23314), 1: 200稀释, 室温孵育1小时. |
储存
| 储存条件 | 在-20℃下储存一年, 避免反复冻融. |
| 储存缓冲液 | 含0.15% ProClin300防腐剂, 100 μg/mL牛血清白蛋白和50%甘油的磷酸盐缓冲液. |
注意:
1.本产品仅供研究使用.
2.建议用一抗稀释液(Y2036)稀释本产品.
| 货号 | 名称 | 规格 | 价格 | 操作 |
|---|
| 货号 | 名称 | 规格 | 价格 | 操作 |
|---|



