
Anti-Aquaporin 2 Rabbit pAb
- 50 μL
产品信息
|
蛋白质全称 |
水通道蛋白2 |
|
别名 |
AQP-2, ADH water channel, Aquaporin-CD, AQP-CD, Collecting duct water channel protein, WCH-CD, Water channel protein for renal collecting duct, Aqp2, cph |
|
Uniprot ID |
P56402 |
|
免疫原 |
KLH偶联的小鼠Aquaporin 2合成肽 |
|
抗体亚型 |
IgG |
|
纯化方式 |
亲和纯化 |
|
亚细胞定位 |
高尔基体, 细胞膜 |
应用
| 应用 | 物种 | 稀释 | 阳性样品 |
| IHC/IF 免疫组织化学/免疫荧光 | 人, 小鼠, 大鼠, 猴 | 1: 400-1: 800 | 子宫颈癌, 肾 |
背景
This gene encodes a water channel protein located in the kidney collecting tubule. It belongs to the MIP/aquaporin family, some members of which are clustered together on chromosome 12q13. Mutations in this gene have been linked to autosomal dominant, and recessive forms of nephrogenic diabetes insipidus. Belongs to the MIP/aquaporin (TC 1.A.8) family.
图像
|
|
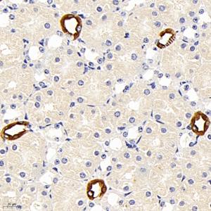
IHC检测Aquaporin 2蛋白(货号 YB112270). 样品: 人肾, 4%多聚甲醛 (货号Y1112) 固定12-24小时. 抗原修复: 柠檬酸抗原修复液(干粉, pH 6.0) (Y1212), 98℃, 20分钟. —抗: 1: 750稀释, 4℃ 孵育过夜. 二抗: HRP标记山羊抗兔IgG (H+L) (货号YB23314), 1: 200稀释, 室温孵育1小时. |
|
|
IHC检测Aquaporin 2蛋白(货号 YB112270). 样品: 小鼠肾, 4%多聚甲醛 (货号Y1112) 固定12-24小时. 抗原修复: 柠檬酸抗原修复液(干粉, pH 6.0) (Y1212), 98℃, 20分钟. —抗: 1: 400稀释, 4℃ 孵育过夜. 二抗: HRP标记山羊抗兔IgG (H+L) (货号YB23314), 1: 200稀释, 室温孵育1小时. |
|
|
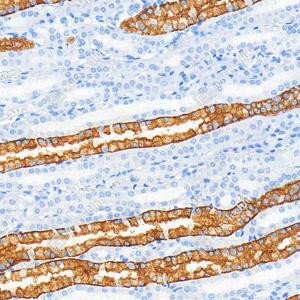
IHC检测Aquaporin 2蛋白(货号 YB112270). 样品: 小鼠肾, 4%多聚甲醛 (货号Y1112) 固定12-24小时. 抗原修复: 柠檬酸抗原修复液(干粉, pH 6.0) (Y1212), 98℃, 20分钟. —抗: 1: 750稀释, 4℃ 孵育过夜. 二抗: HRP标记山羊抗兔IgG (H+L) (货号YB23314), 1: 200稀释, 室温孵育1小时. |
|
|
IF检测Aquaporin 2蛋白(货号 YB112270)(红色). 样品: 人宫颈癌, 4%多聚甲醛 (货号Y1112) 固定12-24小时. 抗原修复: Tris-EDTA抗原修复液(pH 9.0) (Y1214), 98℃, 20分钟. 封闭: 3% BSA(货号YC305021)的PBS溶液, 室温孵育30分钟. —抗: 1: 400稀释, 4℃ 孵育过夜. 二抗: Cy3标记山羊抗兔IgG (H+L) (货号YB21314), 1: 300稀释, 室温孵育1小时. |
|
|
IF检测Aquaporin 2蛋白(货号 YB112270)(红色). 样品: 小鼠肾, 4%多聚甲醛 (货号Y1112) 固定12-24小时. 抗原修复: Tris-EDTA抗原修复液(pH 9.0) (Y1214), 98℃, 20分钟. 封闭: 3% BSA(货号YC305021)的PBS溶液, 室温孵育30分钟. —抗: 1: 400稀释, 4℃ 孵育过夜. 二抗: Cy3标记山羊抗兔IgG (H+L) (货号YB21314), 1: 300稀释, 室温孵育1小时. |
|
|
IF检测Aquaporin 2蛋白(货号 YB112270)(红色). 样品: 大鼠肾, 4%多聚甲醛 (货号Y1112) 固定12-24小时. 抗原修复: Tris-EDTA抗原修复液(pH 9.0) (Y1214), 98℃, 20分钟. 封闭: 3% BSA(货号YC305021)的PBS溶液, 室温孵育30分钟. —抗: 1: 400稀释, 4℃ 孵育过夜. 二抗: Cy3标记山羊抗兔IgG (H+L) (货号YB21314), 1: 300稀释, 室温孵育1小时. |
|
|
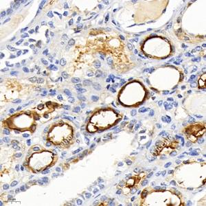
IHC检测Aquaporin 2蛋白(货号 YB112270). 样品: 猴肾, 4%多聚甲醛 (货号Y1112) 固定12-24小时. 抗原修复: 柠檬酸抗原修复液(干粉, pH 6.0) (Y1212), 98℃, 20分钟. —抗: 1: 500稀释, 4℃ 孵育过夜. 二抗: HRP标记山羊抗兔IgG (H+L) (货号YB23314), 1: 200稀释, 室温孵育1小时. |
|
|
IHC检测Aquaporin 2蛋白(货号 YB112270). 样品: 猴肾, 4%多聚甲醛 (货号Y1112) 固定12-24小时. 抗原修复: 柠檬酸抗原修复液(干粉, pH 6.0) (Y1212), 98℃, 20分钟. —抗: 1: 500稀释, 4℃ 孵育过夜. 二抗: HRP标记山羊抗兔IgG (H+L) (货号YB23314), 1: 200稀释, 室温孵育1小时. |
储存
| 储存条件 | 在-20℃下储存一年, 避免反复冻融. |
| 储存缓冲液 | 含0.15% ProClin300防腐剂, 100 μg/mL牛血清白蛋白和50%甘油的磷酸盐缓冲液. |
注意:
1.本产品仅供研究使用.
2.建议用一抗稀释液(Y2036)稀释本产品.
| 货号 | 名称 | 规格 | 价格 | 操作 |
|---|
| 货号 | 名称 | 规格 | 价格 | 操作 |
|---|








