
Anti-Aquaporin 5 Rabbit pAb
- 50 μL
产品信息
|
蛋白质全称 |
水通道蛋白5 |
|
别名 |
AQP-5, Aqp5, Aquaporin 5 |
|
Uniprot ID |
Q9WTY4 |
|
免疫原 |
KLH偶联的小鼠Aquaporin 5合成肽 |
|
抗体亚型 |
IgG |
|
预测分子量./观测分子量. |
28 kDa / 28 kDa |
|
纯化方式 |
亲和纯化 |
|
亚细胞定位 |
细胞膜 |
应用
| 应用 | 物种 | 稀释 | 阳性样品 |
| WB 免疫印迹 | 人, 小鼠, 大鼠 | 1: 600-1: 1200 | 肺, 结肠, 肝 |
| IHC/IF 免疫组织化学/免疫荧光 | 人 | 1: 1800-1: 3600 | 肾 |
背景
Aquaporin 5 (AQP5) is a water channel protein. Aquaporins are a family of small integral membrane proteins related to the major intrinsic protein (MIP or AQP0). Aquaporin 5 plays a role in the generation of saliva, tears and pulmonary secretions. AQP0, AQP2, AQP5, and AQP6 are closely related and all map to 12q13.
图像
|
|
WB检测Aquaporin 5蛋白(货号 YB113329). 样品: 经RIPA裂解液(货号Y2013)处理的蛋白质. 封闭: 3%脱脂牛奶(货号YC310012)溶于TBST溶液, 室温孵育1小时. —抗: 1: 1200稀释, 4℃ 孵育过夜. 二抗: HRP标记山羊抗兔IgG (H+L) (货号YB23314), 1: 5000稀释, 室温孵育1小时. |
|
|
WB检测Aquaporin 5蛋白(货号 YB113329). 样品: 经RIPA裂解液(货号Y2013)处理的蛋白质. 封闭: 3%脱脂牛奶(货号YC310012)溶于TBST溶液, 室温孵育1小时. —抗: 1: 1200稀释, 4℃ 孵育过夜. 二抗: HRP标记山羊抗兔IgG (H+L) (货号YB23314), 1: 5000稀释, 室温孵育1小时. |
|
|
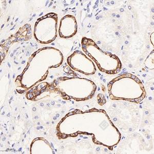
IHC检测Aquaporin 5蛋白(货号 YB113329). 样品: 人肾, 4%多聚甲醛 (货号Y1112) 固定12-24小时. 抗原修复: 柠檬酸抗原修复液(干粉, pH 6.0) (Y1212), 98℃, 20分钟. —抗: 1: 1800稀释, 4℃ 孵育过夜. 二抗: HRP标记山羊抗兔IgG (H+L) (货号YB23314), 1: 200稀释, 室温孵育1小时. |
储存
| 储存条件 | 在-20℃下储存一年, 避免反复冻融. |
| 储存缓冲液 | 含0.15% ProClin300防腐剂, 100 μg/mL牛血清白蛋白和50%甘油的磷酸盐缓冲液. |
注意:
1.本产品仅供研究使用.
2.建议用一抗稀释液(Y2036)稀释本产品.
| 货号 | 名称 | 规格 | 价格 | 操作 |
|---|
| 货号 | 名称 | 规格 | 价格 | 操作 |
|---|



