
Anti-Aquaporin 3 Mouse mAb
- 100 μL
产品信息
|
蛋白质全称 |
水通道蛋白3 |
|
别名 |
AQP3, AQP-3, GIL, aquaporin 3 (Gill blood group), Aquaglyceroporin-3, Aquaporin 3, Gill blood group, aquaporin 3 (Gill blood group) |
|
Uniprot ID |
Q8R2N1 |
|
免疫原 |
小鼠Aquaporin 3重组蛋白 |
|
抗体亚型 |
IgG1, κ |
|
克隆号 |
6E12C5 |
|
纯化方式 |
亲和纯化 |
|
亚细胞定位 |
细胞膜 |
应用
| 应用 | 物种 | 稀释 | 阳性样品 |
| IHC/IF 免疫组织化学/免疫荧光 | 小鼠, 大鼠 | 1: 1000-1: 2000 | 肾 |
背景
Aquaporin 3 is found in the basolateral cell membrane of principal collecting duct cells and provides a pathway for water to exit these cells. In the kidney, AQP3 is regulated by vasopressin (ADH). This protein is also a determinant for the GIL blood group system. Suberoylanilide hydroxamic acid (SAHA) (a HDAC inhibitor) increases expression of aquaporin-3 in normal skin cells (keratinocytes).
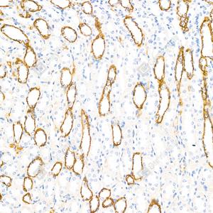
图像
|
|
IHC检测Aquaporin 3蛋白(货号 YB12544). 样品: 小鼠肾, 4%多聚甲醛 (货号Y1112) 固定12-24小时. 抗原修复: 柠檬酸抗原修复液(干粉, pH 6.0) (Y1212), 高压锅均匀喷气计时2分钟. —抗: 1: 2000稀释, 4℃ 孵育过夜. 二抗: HRP标记山羊抗小鼠IgG (H+L) (货号YB23312), 1: 200稀释, 室温孵育1小时. |
|
|
IHC检测Aquaporin 3蛋白(货号 YB12544). 样品: 大鼠肾, 4%多聚甲醛 (货号Y1112) 固定12-24小时. 抗原修复: 柠檬酸抗原修复液(干粉, pH 6.0) (Y1212), 高压锅均匀喷气计时2分钟. —抗: 1: 2000稀释, 4℃ 孵育过夜. 二抗: HRP标记山羊抗小鼠IgG (H+L) (货号YB23312), 1: 200稀释, 室温孵育1小时. |
储存
| 储存条件 | 在-20℃下储存一年, 避免反复冻融. |
| 储存缓冲液 | 含0.15% ProClin300防腐剂, 100 μg/mL牛血清白蛋白和50%甘油的磷酸盐缓冲液. |
注意:
1.本产品仅供研究使用.
2.建议用一抗稀释液(Y2036)稀释本产品.
| 货号 | 名称 | 规格 | 价格 | 操作 |
|---|
| 货号 | 名称 | 规格 | 价格 | 操作 |
|---|


