
Anti-Aquaporin 4 Mouse mAb
- 100 μL
产品信息
蛋白质全称 | 水通道蛋白4 |
别名 | AQP4, Aquaporin 4, HMIWC2, MIWC, WCH4, Aquaporin type 4, Mercurial-insensitive water channel, aquaporin 4 |
免疫原 | 小鼠Aquaporin 4重组蛋白 |
Uniprot ID | P55088 |
抗体亚型 | IgG2b, κ |
克隆号 | 1E3H4 |
纯化方式 | 亲和纯化 |
亚细胞定位 | 细胞膜 |
应用
| 应用 | 物种 | 稀释 | 阳性样品 |
| IHC/IF 免疫组织化学/免疫荧光 | 人, 小鼠, 大鼠 | 1: 1000-1: 2000 | 脑, 肾, 肺 |
背景
Aquaporin-4, also known as AQP4, is a water channel protein, belonging to the aquaporin family of integral membrane proteins that conduct water through the cell membrane. In the CNS, AQP4 is the most prevalent aquaporin channel, specifically located at the perimicrovessel astrocyte foot processes, glia limitans, and ependyma. Aquaporin-4’s overall function is to provide fast water transportation as well as maintain homeostatic balance within the central nervous system. Other systems are also regulated by AQP4.
图像
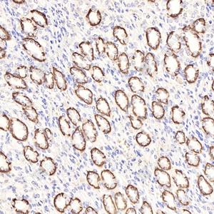
| IHC检测Aquaporin 4蛋白(货号 YB12540). 样品: 小鼠肾, 4%多聚甲醛 (货号Y1112) 固定12-24小时. 抗原修复: 柠檬酸抗原修复液(干粉, pH 6.0) (Y1212), 高压锅均匀喷气计时2分钟. —抗: 1: 700稀释, 4℃ 孵育过夜. 二抗: HRP标记山羊抗小鼠IgG (H+L) (货号YB23312), 1: 200稀释, 室温孵育1小时. |
| IHC检测Aquaporin 4蛋白(货号 YB12540). 样品: 大鼠肾, 4%多聚甲醛 (货号Y1112) 固定12-24小时. 抗原修复: 柠檬酸抗原修复液(干粉, pH 6.0) (Y1212), 高压锅均匀喷气计时2分钟. —抗: 1: 700稀释, 4℃ 孵育过夜. 二抗: HRP标记山羊抗小鼠IgG (H+L) (货号YB23312), 1: 200稀释, 室温孵育1小时. |
| IHC检测Aquaporin 4蛋白(货号 YB12540). 样品: 人多形性胶质母细胞瘤, 4%多聚甲醛 (货号Y1112) 固定12-24小时. 抗原修复: 柠檬酸抗原修复液(干粉, pH 6.0) (Y1212), 高压锅均匀喷气计时2分钟. —抗: 1: 1000稀释, 4℃ 孵育过夜. 二抗: HRP标记山羊抗小鼠IgG (H+L) (货号YB23312), 1: 200稀释, 室温孵育1小时. |
| IHC检测Aquaporin 4蛋白(货号 YB12540). 样品: 人肺, 4%多聚甲醛 (货号Y1112) 固定12-24小时. 抗原修复: 柠檬酸抗原修复液(干粉, pH 6.0) (Y1212), 高压锅均匀喷气计时2分钟. —抗: 1: 1000稀释, 4℃ 孵育过夜. 二抗: HRP标记山羊抗小鼠IgG (H+L) (货号YB23312), 1: 200稀释, 室温孵育1小时. |
| IHC检测Aquaporin 4蛋白(货号 YB12540). 样品: 人胃, 4%多聚甲醛 (货号Y1112) 固定12-24小时. 抗原修复: 柠檬酸抗原修复液(干粉, pH 6.0) (Y1212), 高压锅均匀喷气计时2分钟. —抗: 1: 1000稀释, 4℃ 孵育过夜. 二抗: HRP标记山羊抗小鼠IgG (H+L) (货号YB23312), 1: 200稀释, 室温孵育1小时. |
| IF检测Aquaporin 4蛋白(货号 YB12540)(红色). 样品: 小鼠脑, 4%多聚甲醛 (货号Y1112) 固定12-24小时. 抗原修复: 柠檬酸抗原修复液(干粉, pH 6.0) (Y1212), 高压锅均匀喷气计时2分钟. 封闭: 3% BSA(货号YC305021)的PBS溶液, 室温孵育30分钟. —抗: 1: 1000稀释, 4℃ 孵育过夜. 二抗: Cy3标记山羊抗小鼠IgG (H+L) (货号YB21312), 1: 300稀释, 室温孵育1小时. |
| IF检测Aquaporin 4蛋白(货号 YB12540)(红色). 样品: 小鼠肾, 4%多聚甲醛 (货号Y1112) 固定12-24小时. 抗原修复: 柠檬酸抗原修复液(干粉, pH 6.0) (Y1212), 高压锅均匀喷气计时2分钟. 封闭: 3% BSA(货号YC305021)的PBS溶液, 室温孵育30分钟. —抗: 1: 1000稀释, 4℃ 孵育过夜. 二抗: Cy3标记山羊抗小鼠IgG (H+L) (货号YB21312), 1: 300稀释, 室温孵育1小时. |
| IF检测Aquaporin 4蛋白(货号 YB12540)(红色). 样品: 小鼠肺, 4%多聚甲醛 (货号Y1112) 固定12-24小时. 抗原修复: 柠檬酸抗原修复液(干粉, pH 6.0) (Y1212), 高压锅均匀喷气计时2分钟. 封闭: 3% BSA(货号YC305021)的PBS溶液, 室温孵育30分钟. —抗: 1: 1000稀释, 4℃ 孵育过夜. 二抗: Cy3标记山羊抗小鼠IgG (H+L) (货号YB21312), 1: 300稀释, 室温孵育1小时. |
| IF检测Aquaporin 4蛋白(货号 YB12540)(红色). 样品: 小鼠肌肉, 4%多聚甲醛 (货号Y1112) 固定12-24小时. 抗原修复: 柠檬酸抗原修复液(干粉, pH 6.0) (Y1212), 高压锅均匀喷气计时2分钟. 封闭: 3% BSA(货号YC305021)的PBS溶液, 室温孵育30分钟. —抗: 1: 1000稀释, 4℃ 孵育过夜. 二抗: Cy3标记山羊抗小鼠IgG (H+L) (货号YB21312), 1: 300稀释, 室温孵育1小时. |
储存
| 储存条件 | 在-20℃下储存一年, 避免反复冻融. |
| 储存缓冲液 | 含0.15% ProClin300防腐剂, 100 μg/mL牛血清白蛋白和50%甘油的磷酸盐缓冲液. |
注意:
1.本产品仅供研究使用.
2.建议用一抗稀释液(Y2036)稀释本产品.
| 货号 | 名称 | 规格 | 价格 | 操作 |
|---|
| 货号 | 名称 | 规格 | 价格 | 操作 |
|---|









