
Anti-HSD17B8 Rabbit pAb
- 100 μL
产品信息
|
蛋白质全称 |
(3R)-3-羟酰辅酶A脱氢酶 |
|
别名 |
17 beta HSD 8, D6S2245E, FABG, FABGL, H2 KE6, HKE6, HSD17B8, Ke 6, KE6, Protein Ke6, RING2, SDR30C1 |
|
Uniprot ID |
P50171 |
|
免疫原 |
KLH偶联的小鼠HSD17B8合成肽 |
|
抗体亚型 |
IgG |
|
预测分子量./观测分子量. |
27 kDa / 32 kDa |
|
纯化方式 |
亲和纯化 |
|
亚细胞定位 |
线粒体基质 |
应用
| 应用 | 物种 | 稀释 | 阳性样品 |
| WB 免疫印迹 | 小鼠, 大鼠 | 1: 2000-1: 3000 | 肾, 肝, 胎盘 |
| IHC/IF 免疫组织化学/免疫荧光 | 小鼠, 大鼠 | 1: 1000-1: 3000 | 脑 |
背景
Required for the solubility and assembly of the heterotetramer 3-ketoacyl-[acyl carrier protein] (ACP) reductase functional complex (KAR or KAR1) that forms part of the mitochondrial fatty acid synthase (mtFAS). Alpha-subunit of the KAR complex, acts as scaffold protein, required for the stability of carbonyl reductase type-4 (CBR4, beta-subunit of the KAR complex) and for its 3-ketoacyl-ACP reductase activity, thereby participating in mitochondrial fatty acid biosynthesis. Catalyzes the NAD-dependent conversion of (3R)-3-hydroxyacyl-CoA into 3-ketoacyl-CoA (3-oxoacyl-CoA) with no chain length preference, this enzymatic activity is not needed for the KAR function. Prefers (3R)-3-hydroxyacyl-CoA over (3S)-3-hydroxyacyl-CoA and displays enzymatic activity only in the presence of NAD+(H).
图像
|
|
WB检测HSD17B8蛋白(货号 YB114815). 样品: 经RIPA裂解液(货号Y2013)处理的蛋白质. 封闭: 3%脱脂牛奶(货号YC310012)溶于TBST溶液, 室温孵育1小时. —抗: 1: 2000稀释, 4℃ 孵育过夜. 二抗: HRP标记山羊抗兔IgG (H+L) (货号YB23314), 1: 5000稀释, 室温孵育1小时. |
|
|
WB检测HSD17B8蛋白(货号 YB114815). 样品: 经RIPA裂解液(货号Y2013)处理的蛋白质. 封闭: 3%脱脂牛奶(货号YC310012)溶于TBST溶液, 室温孵育1小时. —抗: 1: 2000稀释, 4℃ 孵育过夜. 二抗: HRP标记山羊抗兔IgG (H+L) (货号YB23314), 1: 5000稀释, 室温孵育1小时. |
|
|
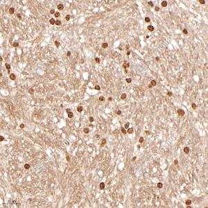
IHC检测HSD17B8蛋白(货号 YB114815). 样品: 大鼠脑, 4%多聚甲醛 (货号Y1112) 固定12-24小时. 抗原修复: 柠檬酸抗原修复液(干粉, pH 6.0) (Y1212), 98℃, 20分钟. —抗: 1: 1000稀释, 4℃ 孵育过夜. 二抗: HRP标记山羊抗兔IgG (H+L) (货号YB23314), 1: 200稀释, 室温孵育1小时. |
|
|
IHC检测HSD17B8蛋白(货号 YB114815). 样品: 小鼠脑, 4%多聚甲醛 (货号Y1112) 固定12-24小时. 抗原修复: 柠檬酸抗原修复液(干粉, pH 6.0) (Y1212), 98℃, 20分钟. —抗: 1: 1000稀释, 4℃ 孵育过夜. 二抗: HRP标记山羊抗兔IgG (H+L) (货号YB23314), 1: 200稀释, 室温孵育1小时. |
|
|
IF检测HSD17B8蛋白(货号 YB114815)(红色). 样品: 小鼠脑, 4%多聚甲醛 (货号Y1112) 固定12-24小时. 抗原修复: Tris-EDTA抗原修复液(pH 9.0) (Y1214), 98℃, 20分钟. 封闭: 3% BSA(货号YC305021)的PBS溶液, 室温孵育30分钟. —抗: 1: 300稀释, 4℃ 孵育过夜. 二抗: Cy3标记山羊抗兔IgG (H+L) (货号YB21314), 1: 300稀释, 室温孵育1小时. |
|
|
IF检测HSD17B8蛋白(货号 YB114815)(红色). 样品: 大鼠脑, 4%多聚甲醛 (货号Y1112) 固定12-24小时. 抗原修复: Tris-EDTA抗原修复液(pH 9.0) (Y1214), 98℃, 20分钟. 封闭: 3% BSA(货号YC305021)的PBS溶液, 室温孵育30分钟. —抗: 1: 300稀释, 4℃ 孵育过夜. 二抗: Cy3标记山羊抗兔IgG (H+L) (货号YB21314), 1: 300稀释, 室温孵育1小时. |
储存
| 储存条件 | 在-20℃下储存一年, 避免反复冻融. |
| 储存缓冲液 | 含0.15% ProClin300防腐剂, 100 μg/mL牛血清白蛋白和50%甘油的磷酸盐缓冲液. |
注意:
1.本产品仅供研究使用.
2.建议用一抗稀释液(Y2036)稀释本产品.
| 货号 | 名称 | 规格 | 价格 | 操作 |
|---|
| 货号 | 名称 | 规格 | 价格 | 操作 |
|---|






