
Anti-HSD11B2 Rabbit pAb
¥1980
货号:YB113927-100
品牌:YIKE
规格:
- 100 μL
数量:
产品信息
|
蛋白质全称 |
皮质类固醇11-β-脱氢酶同工酶2 |
|
别名 |
Corticosteroid 11 beta dehydrogenase isozyme 2, HSD11K, AME1, AME, 11 beta HSD2, 11 DH2, SDR9C3 |
|
Uniprot ID |
P51661 |
|
免疫原 |
KLH偶联的小鼠HSD11B2合成肽 |
|
抗体亚型 |
IgG |
|
纯化方式 |
亲和纯化 |
|
亚细胞定位 |
内质网 |
应用
| 应用 | 物种 | 稀释 | 阳性样品 |
| IHC/IF 免疫组织化学/免疫荧光 | 小鼠 | 1: 300-1: 600 | 肾 |
背景
Catalyzes the conversion of cortisol to the inactive metabolite cortisone. Modulates intracellular glucocorticoid levels, thus protecting the nonselective mineralocorticoid receptor from occupation by glucocorticoids.
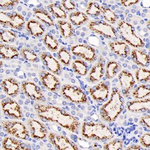
图像
|
|
IHC检测HSD11B2蛋白(货号 YB113927). 样品: 小鼠肾, 4%多聚甲醛 (货号Y1112) 固定12-24小时. 抗原修复: 柠檬酸抗原修复液(干粉, pH 6.0) (Y1212), 98℃, 20分钟. —抗: 1: 300稀释, 4℃ 孵育过夜. 二抗: HRP标记山羊抗兔IgG (H+L) (货号YB23314), 1: 200稀释, 室温孵育1小时. |
|
|
IF检测HSD11B2蛋白(货号 YB113927)(红色). 样品: 小鼠肾, 4%多聚甲醛 (货号Y1112) 固定12-24小时. 抗原修复: Tris-EDTA抗原修复液(pH 9.0) (Y1214), 98℃, 20分钟. 封闭: 3% BSA(货号YC305021)的PBS溶液, 室温孵育30分钟. —抗: 1: 300稀释, 4℃ 孵育过夜. 二抗: Cy3标记山羊抗兔IgG (H+L) (货号YB21314), 1: 300稀释, 室温孵育1小时. |
储存
| 储存条件 | 在-20℃下储存一年, 避免反复冻融. |
| 储存缓冲液 | 含0.15% ProClin300防腐剂, 100 μg/mL牛血清白蛋白和50%甘油的磷酸盐缓冲液. |
注意:
1.本产品仅供研究使用.
2.建议用一抗稀释液(Y2036)稀释本产品.
服务推荐
| 货号 | 名称 | 规格 | 价格 | 操作 |
|---|
产品推荐
| 货号 | 名称 | 规格 | 价格 | 操作 |
|---|


