
Anti-CHST8 Rabbit pAb
- 50 μL
产品信息
|
蛋白质全称 |
碳水化合物磺基转移酶8 |
|
别名 |
CHST8, GalNAc 4 O sulfotransferase 1, GalNAc 4 ST1, GalNAc4ST, GALNAC4ST1, N-acetylgalactosamine-4-O-sulfotransferase 1 |
|
Uniprot ID |
Q8BQ86 |
|
免疫原 |
小鼠CHST8重组蛋白 |
|
抗体亚型 |
IgG |
|
纯化方式 |
亲和纯化 |
|
亚细胞定位 |
高尔基体 |
应用
| 应用 | 物种 | 稀释 | 阳性样品 |
| IHC/IF 免疫组织化学/免疫荧光 | 小鼠, 大鼠 | 1: 1500-1: 3000 | 垂体 |
背景
The protein encoded by this gene belongs to the sulfotransferase 2 family. It is predominantly expressed in the pituitary gland, and is localized to the golgi membrane. This protein catalyzes the transfer of sulfate to position 4 of non-reducing N-acetylgalactosamine (GalNAc) residues in both N-glycans and O-glycans. It is responsible for sulfation of GalNAc on luteinizing hormone (LH), which is required for production of the sex hormones. Mice lacking this enzyme, exhibit increased levels of circulating LH, and precocious sexual maturation of both male and female mice. Alternatively spliced transcript variants have been found for this gene.
图像
|
|
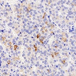
IHC检测CHST8蛋白(货号 YB113145). 样品: 小鼠垂体, 4%多聚甲醛 (货号Y1112) 固定12-24小时. 抗原修复: 柠檬酸抗原修复液(干粉, pH 6.0) (Y1212), 98℃, 20分钟. —抗: 1: 1500稀释, 4℃ 孵育过夜. 二抗: HRP标记山羊抗兔IgG (H+L) (货号YB23314), 1: 200稀释, 室温孵育1小时. |
|
|
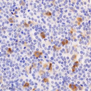
IHC检测CHST8蛋白(货号 YB113145). 样品: 大鼠垂体, 4%多聚甲醛 (货号Y1112) 固定12-24小时. 抗原修复: 柠檬酸抗原修复液(干粉, pH 6.0) (Y1212), 98℃, 20分钟. —抗: 1: 1500稀释, 4℃ 孵育过夜. 二抗: HRP标记山羊抗兔IgG (H+L) (货号YB23314), 1: 200稀释, 室温孵育1小时. |
储存
| 储存条件 | 在-20℃下储存一年, 避免反复冻融. |
| 储存缓冲液 | 含0.15% ProClin300防腐剂, 100 μg/mL牛血清白蛋白和50%甘油的磷酸盐缓冲液. |
注意:
1.本产品仅供研究使用.
2.建议用一抗稀释液(Y2036)稀释本产品.
| 货号 | 名称 | 规格 | 价格 | 操作 |
|---|
| 货号 | 名称 | 规格 | 价格 | 操作 |
|---|


