
Anti-PFKL Rabbit pAb
- 100 μL
产品信息
|
蛋白质全称 |
ATP依赖性6-磷酸果糖激酶(肝型) |
|
别名 |
ATP-PFK, PFK-L, PFK-B, PFKL, 6-phosphofructokinase type B, Phosphofructo-1-kinase isozyme B |
|
Uniprot ID |
P17858 |
|
免疫原 |
人PFKL重组蛋白 |
|
抗体亚型 |
IgG |
|
纯化方式 |
亲和纯化 |
|
亚细胞定位 |
细胞质 |
应用
| 应用 | 物种 | 稀释 | 阳性样品 |
| IHC/IF 免疫组织化学/免疫荧光 | 人 | 1: 1000-1: 3000 | 肝癌、肝癌、前列腺癌 |
背景
PFKL is the Liver isozyme of PFK (Phosphofructokinase), which is a tetrameric enzyme that catalyzes a key step in glycolysis, namely the conversion of D-fructose 6-phosphate to D-fructose 1,6-bisphosphate by ATP. Negatively regulates the phagocyte oxidative burst in response to bacterial infection by controlling cellular NADPH biosynthesis and NADPH oxidase-derived reactive oxygen species. Upon macrophage activation, drives the metabolic switch toward glycolysis, thus preventing glucose turnover that produces NADPH via pentose phosphate pathway.
图像
|
|
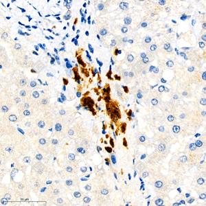
IHC检测PFKL蛋白(货号 YB111147). 样品: 人肝癌, 4%多聚甲醛 (货号Y1112) 固定12-24小时. 抗原修复: 柠檬酸抗原修复液(干粉, pH 6.0) (Y1212), 98℃, 20分钟. —抗: 1: 1600稀释, 4℃ 孵育过夜. 二抗: HRP标记山羊抗兔IgG (H+L) (货号YB23314), 1: 200稀释, 室温孵育1小时. |
|
|
IHC检测PFKL蛋白(货号 YB111147). 样品: 人肝, 4%多聚甲醛 (货号Y1112) 固定12-24小时. 抗原修复: 柠檬酸抗原修复液(干粉, pH 6.0) (Y1212), 98℃, 20分钟. —抗: 1: 1600稀释, 4℃ 孵育过夜. 二抗: HRP标记山羊抗兔IgG (H+L) (货号YB23314), 1: 200稀释, 室温孵育1小时. |
|
|
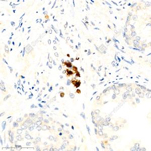
IHC检测PFKL蛋白(货号 YB111147). 样品: 人前列腺, 4%多聚甲醛 (货号Y1112) 固定12-24小时. 抗原修复: 柠檬酸抗原修复液(干粉, pH 6.0) (Y1212), 98℃, 20分钟. —抗: 1: 1600稀释, 4℃ 孵育过夜. 二抗: HRP标记山羊抗兔IgG (H+L) (货号YB23314), 1: 200稀释, 室温孵育1小时. |
储存
| 储存条件 | 在-20℃下储存一年, 避免反复冻融. |
| 储存缓冲液 | 含0.15% ProClin300防腐剂, 100 μg/mL牛血清白蛋白和50%甘油的磷酸盐缓冲液. |
注意:
1.本产品仅供研究使用.
2.建议用一抗稀释液(Y2036)稀释本产品.
| 货号 | 名称 | 规格 | 价格 | 操作 |
|---|
| 货号 | 名称 | 规格 | 价格 | 操作 |
|---|



