
Anti-GLUD1 Rabbit pAb
- 100 μL
产品信息
|
蛋白质全称 |
谷氨酸脱氢酶1(线粒体) |
|
别名 |
GDH, GDH 1, GDH1, GLUD, GLUD1, glutamate dehydrogenase 1, EC 1.4.1.3, Gdh-X, MRG-2, Memory-related gene 2 protein |
|
Uniprot ID |
P26443 |
|
免疫原 |
KLH偶联的小鼠GLUD1合成肽 |
|
抗体亚型 |
IgG |
|
预测分子量./观测分子量. |
61 kDa / 55 kDa |
|
纯化方式 |
亲和纯化 |
|
亚细胞定位 |
内质网, 线粒体 |
应用
| 应用 | 物种 | 稀释 | 阳性样品 |
| WB 免疫印迹 | 人, 小鼠, 大鼠 | 1: 1000-1: 2000 | 脑, 肾, 皮肤 |
| IHC/IF 免疫组织化学/免疫荧光 | 人 | 1: 400-1: 1200 | 结肠癌, 肺癌, 肝癌 |
背景
Human glutamate dehydrogenase (GDH), an enzyme central to the metabolism of glutamate, is known to exist in housekeeping and nerve tissue-specific isoforms encoded by the GLUD1 and GLUD2 genes, respectively. It catalyses the reversible inter-conversion of glutamate to alpha-ketoglutarate and ammonia, thus interconnecting amino acid and carbohydrate metabolism. GLUD1 might contribute to the formation of specific synapses in the hippocampus such as those formed by the projecting neurons of the entorhinal cortex.
图像
|
|
WB检测GLUD1蛋白(货号 YB113844). 样品: 经RIPA裂解液(货号Y2013)处理的蛋白质. 封闭: 3%脱脂牛奶(货号YC310012)溶于TBST溶液, 室温孵育1小时. —抗: 1: 2000稀释, 4℃ 孵育过夜. 二抗: HRP标记山羊抗兔IgG (H+L) (货号YB23314), 1: 5000稀释, 室温孵育1小时. |
|
|
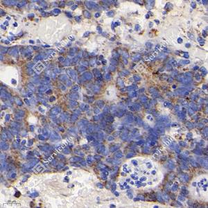
IHC检测GLUD1蛋白(货号 YB113844). 样品: 人结肠癌, 4%多聚甲醛 (货号Y1112) 固定12-24小时. 抗原修复: 柠檬酸抗原修复液(干粉, pH 6.0) (Y1212), 98℃, 20分钟. —抗: 1: 1200稀释, 4℃ 孵育过夜. 二抗: HRP标记山羊抗兔IgG (H+L) (货号YB23314), 1: 200稀释, 室温孵育1小时. |
|
|
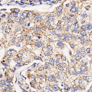
IHC检测GLUD1蛋白(货号 YB113844). 样品: 人肺癌, 4%多聚甲醛 (货号Y1112) 固定12-24小时. 抗原修复: 柠檬酸抗原修复液(干粉, pH 6.0) (Y1212), 98℃, 20分钟. —抗: 1: 800稀释, 4℃ 孵育过夜. 二抗: HRP标记山羊抗兔IgG (H+L) (货号YB23314), 1: 200稀释, 室温孵育1小时. |
|
|
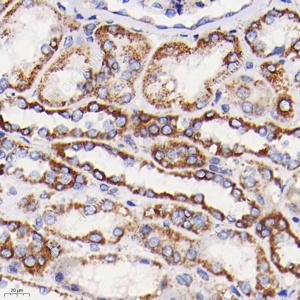
IHC检测GLUD1蛋白(货号 YB113844). 样品: 人肾, 4%多聚甲醛 (货号Y1112) 固定12-24小时. 抗原修复: 柠檬酸抗原修复液(干粉, pH 6.0) (Y1212), 98℃, 20分钟. —抗: 1: 800稀释, 4℃ 孵育过夜. 二抗: HRP标记山羊抗兔IgG (H+L) (货号YB23314), 1: 200稀释, 室温孵育1小时. |
|
|
IHC检测GLUD1蛋白(货号 YB113844). 样品: 人胎盘, 4%多聚甲醛 (货号Y1112) 固定12-24小时. 抗原修复: 柠檬酸抗原修复液(干粉, pH 6.0) (Y1212), 98℃, 20分钟. —抗: 1: 800稀释, 4℃ 孵育过夜. 二抗: HRP标记山羊抗兔IgG (H+L) (货号YB23314), 1: 200稀释, 室温孵育1小时. |
|
|
IF检测GLUD1蛋白(货号 YB113844)(红色). 样品: 人肾, 4%多聚甲醛 (货号Y1112) 固定12-24小时. 抗原修复: Tris-EDTA抗原修复液(pH 9.0) (Y1214), 98℃, 20分钟. 封闭: 3% BSA(货号YC305021)的PBS溶液, 室温孵育30分钟. —抗: 1: 400稀释, 4℃ 孵育过夜. 二抗: Cy3标记山羊抗兔IgG (H+L) (货号YB21314), 1: 300稀释, 室温孵育1小时. |
|
|
IF检测GLUD1蛋白(货号 YB113844)(红色). 样品: 人肝癌, 4%多聚甲醛 (货号Y1112) 固定12-24小时. 抗原修复: Tris-EDTA抗原修复液(pH 9.0) (Y1214), 98℃, 20分钟. 封闭: 3% BSA(货号YC305021)的PBS溶液, 室温孵育30分钟. —抗: 1: 400稀释, 4℃ 孵育过夜. 二抗: Cy3标记山羊抗兔IgG (H+L) (货号YB21314), 1: 300稀释, 室温孵育1小时. |
储存
| 储存条件 | 在-20℃下储存一年, 避免反复冻融. |
| 储存缓冲液 | 含0.15% ProClin300防腐剂, 100 μg/mL牛血清白蛋白和50%甘油的磷酸盐缓冲液. |
注意:
1.本产品仅供研究使用.
2.建议用一抗稀释液(Y2036)稀释本产品.
| 货号 | 名称 | 规格 | 价格 | 操作 |
|---|
| 货号 | 名称 | 规格 | 价格 | 操作 |
|---|







