
Anti-Glucose Transporter GLUT4 Rabbit pAb
- 50 μL
产品信息
蛋白质全称 | 溶质载体家族2(葡萄糖转运体成员4) |
别名 | Glucose transporter type 4, insulin-responsive, GLUT-4, SLC2A4, GLUT4, solute carrier family 2 |
免疫原 | KLH偶联的小鼠GLUT-4合成肽 |
Uniprot ID | P14142 |
抗体亚型 | IgG |
纯化方式 | 亲和纯化 |
亚细胞定位 | 细胞膜, 细胞质 |
应用
| 应用 | 物种 | 稀释 | 阳性样品 |
| IHC/IF 免疫组织化学/免疫荧光 | 小鼠, 大鼠 | 1: 400-1: 1600 | 心, 骨骼肌 |
背景
GLUT4 is the facilitated glucose transporter expressed exclusively in adipocytes and muscle cells, and is also known as the "insulin-responsive" glucose transporter. GLUT4 translocates from an ill-defined intracellular compartment to the plasma membrane in response to insulin. The total cellular content of GLUT4 is significantly decreased in adipose cells from many patients with Type II diabetes mellitus, and animals with some types of experimental diabetes.
图像
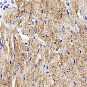
| IHC检测Glucose Transporter GLUT4蛋白(货号 YB11255). 样品: 大鼠心, 4%多聚甲醛 (货号Y1112) 固定12-24小时. 抗原修复: 柠檬酸抗原修复液(干粉, pH 6.0) (Y1212), 98℃, 20分钟. —抗: 1: 800稀释, 4℃ 孵育过夜. 二抗: HRP标记山羊抗兔IgG (H+L) (货号YB23314), 1: 200稀释, 室温孵育1小时. |
| IHC检测Glucose Transporter GLUT4蛋白(货号 YB11255). 样品: 大鼠骨骼肌, 4%多聚甲醛 (货号Y1112) 固定12-24小时. 抗原修复: 柠檬酸抗原修复液(干粉, pH 6.0) (Y1212), 98℃, 20分钟. —抗: 1: 800稀释, 4℃ 孵育过夜. 二抗: HRP标记山羊抗兔IgG (H+L) (货号YB23314), 1: 200稀释, 室温孵育1小时. |
| IF检测Glucose Transporter GLUT4蛋白(货号 YB11255)(红色). 样品: 小鼠心, 4%多聚甲醛 (货号Y1112) 固定12-24小时. 抗原修复: Tris-EDTA抗原修复液(pH 9.0) (Y1214), 98℃, 20分钟. 封闭: 3% BSA(货号YC305021)的PBS溶液, 室温孵育30分钟. —抗: 1: 400稀释, 4℃ 孵育过夜. 二抗: Cy3标记山羊抗兔IgG (H+L) (货号YB21314), 1: 300稀释, 室温孵育1小时. |
| IF检测Glucose Transporter GLUT4蛋白(货号 YB11255)(红色). 样品: 大鼠心, 4%多聚甲醛 (货号Y1112) 固定12-24小时. 抗原修复: Tris-EDTA抗原修复液(pH 9.0) (Y1214), 98℃, 20分钟. 封闭: 3% BSA(货号YC305021)的PBS溶液, 室温孵育30分钟. —抗: 1: 400稀释, 4℃ 孵育过夜. 二抗: Cy3标记山羊抗兔IgG (H+L) (货号YB21314), 1: 300稀释, 室温孵育1小时. |
储存
| 储存条件 | 在-20℃下储存一年, 避免反复冻融. |
| 储存缓冲液 | 含0.15% ProClin300防腐剂, 100 μg/mL牛血清白蛋白和50%甘油的磷酸盐缓冲液. |
注意:
1.本产品仅供研究使用.
2.建议用一抗稀释液(Y2036)稀释本产品.
| 货号 | 名称 | 规格 | 价格 | 操作 |
|---|
| 货号 | 名称 | 规格 | 价格 | 操作 |
|---|




