
Anti-HBEGF/DTR Rabbit pAb
- 50 μL
产品信息
|
蛋白质全称 |
前肝素结合EGF样生长因子 |
|
别名 |
HB-EGF, HBEGF, Dtr, Hegfl, Diphtheria toxin receptor, Heparin-binding EGF-like growth factor |
|
Uniprot ID |
Q06186 |
|
免疫原 |
KLH偶联的小鼠HBEGF/DTR合成肽 |
|
抗体亚型 |
IgG |
|
纯化方式 |
亲和纯化 |
|
亚细胞定位 |
细胞膜, 分泌型 |
应用
| 应用 | 物种 | 稀释 | 阳性样品 |
| IHC/IF 免疫组织化学/免疫荧光 | 人, 大鼠 | 1: 700-1: 1400 | 卵巢癌, 结肠, 胃 |
背景
Heparin-binding epidermal growth factor-like growth factor (HB-EGF) is a 22kDa O-glycosylated protein that is a potent mitogen and chemoattractant for vascular smooth muscle cells, fibroblasts and epithelial cells but not endothelial cells. The natural protein has an apparent molecular mass of 19-23 kDa and exists in multiple forms as a result of heterogeneous O-glycosylation and/or Nterminal truncation. HB-EGF is synthesized as a membrane-anchored precursor(proHB-EGF) that is proteolytically cleaved to release the soluble mature growth factor.
图像
|
|
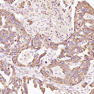
IHC检测HBEGF/DTR蛋白(货号 GB112926). 样品: 人卵巢癌, 4%多聚甲醛 (货号G1101) 固定12-24小时. 抗原修复: 柠檬酸抗原修复液(干粉, pH 6.0) (G1201), 98℃, 20分钟. —抗: 1: 700稀释, 4℃ 孵育过夜. 二抗: HRP标记山羊抗兔IgG (H+L) (货号GB23303), 1: 200稀释, 室温孵育1小时. |
|
|
IHC检测HBEGF/DTR蛋白(货号 GB112926). 样品: 人结肠, 4%多聚甲醛 (货号G1101) 固定12-24小时. 抗原修复: 柠檬酸抗原修复液(干粉, pH 6.0) (G1201), 98℃, 20分钟. —抗: 1: 700稀释, 4℃ 孵育过夜. 二抗: HRP标记山羊抗兔IgG (H+L) (货号GB23303), 1: 200稀释, 室温孵育1小时. |
|
|
IHC检测HBEGF/DTR蛋白(货号 GB112926). 样品: 大鼠胃, 4%多聚甲醛 (货号G1101) 固定12-24小时. 抗原修复: 柠檬酸抗原修复液(干粉, pH 6.0) (G1201), 98℃, 20分钟. —抗: 1: 700稀释, 4℃ 孵育过夜. 二抗: HRP标记山羊抗兔IgG (H+L) (货号GB23303), 1: 200稀释, 室温孵育1小时. |
储存
| 储存条件 | 在-20℃下储存一年, 避免反复冻融. |
| 储存缓冲液 | 含0.15% ProClin300防腐剂, 100 μg/mL牛血清白蛋白和50%甘油的磷酸盐缓冲液. |
注意:
1.本产品仅供研究使用.
2.建议用一抗稀释液(G2025)稀释本产品.
| 货号 | 名称 | 规格 | 价格 | 操作 |
|---|
| 货号 | 名称 | 规格 | 价格 | 操作 |
|---|


