
Anti-Insulin Receptor alpha Rabbit pAb
- 100 μL
产品信息
|
蛋白质全称 |
胰岛素受体 |
|
别名 |
CD220, HHF5, INSR, IR, Insulin receptor subunit alpha |
|
Uniprot ID |
P15208 |
|
免疫原 |
KLH偶联的小鼠Insulin Receptor alpha合成肽 |
|
抗体亚型 |
IgG |
|
纯化方式 |
亲和纯化 |
|
亚细胞定位 |
细胞膜, 内体, 溶酶体 |
应用
| 应用 | 物种 | 稀释 | 阳性样品 |
| IHC/IF 免疫组织化学/免疫荧光 | 人, 小鼠, 大鼠 | 1: 3000-1: 6000 | 子宫内膜癌, 食道癌, 子宫 |
背景
The biological effects of INS are mediated by a membrane spanning cell surface receptor that has been shown to consist of disulfide-linked 135-kDa and 95-kDa alpha- and beta-subunits that are cleaved products of a common precursor. Binding of INS to the receptor extracellular domain results in intracellular activation of a tyrosine-specific kinase activity and the generation of signals that determine the cellular response . This antibody raised against 980-1382aa of human INS receptor can recognize full-length INS receptor precursor and INS receptor beta subunit.
图像
|
|
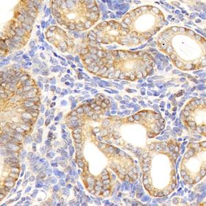
IHC检测Insulin Receptor alpha蛋白(货号 GB113494). 样品: 人子宫内膜癌, 4%多聚甲醛 (货号G1101) 固定12-24小时. 抗原修复: Tris-EDTA抗原修复液(pH 9.0) (G1203), 98℃, 20分钟. —抗: 1: 6000稀释, 4℃ 孵育过夜. 二抗: HRP标记山羊抗兔IgG (H+L) (货号GB23303), 1: 200稀释, 室温孵育1小时. |
|
|
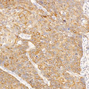
IHC检测Insulin Receptor alpha蛋白(货号 GB113494). 样品: 人食管癌, 4%多聚甲醛 (货号G1101) 固定12-24小时. 抗原修复: Tris-EDTA抗原修复液(pH 9.0) (G1203), 98℃, 20分钟. —抗: 1: 6000稀释, 4℃ 孵育过夜. 二抗: HRP标记山羊抗兔IgG (H+L) (货号GB23303), 1: 200稀释, 室温孵育1小时. |
|
|
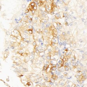
IHC检测Insulin Receptor alpha蛋白(货号 GB113494). 样品: 小鼠子宫, 4%多聚甲醛 (货号G1101) 固定12-24小时. 抗原修复: Tris-EDTA抗原修复液(pH 9.0) (G1203), 98℃, 20分钟. —抗: 1: 6000稀释, 4℃ 孵育过夜. 二抗: HRP标记山羊抗兔IgG (H+L) (货号GB23303), 1: 200稀释, 室温孵育1小时. |
|
|
IHC检测Insulin Receptor alpha蛋白(货号 GB113494). 样品: 大鼠小肠, 4%多聚甲醛 (货号G1101) 固定12-24小时. 抗原修复: Tris-EDTA抗原修复液(pH 9.0) (G1203), 98℃, 20分钟. —抗: 1: 6000稀释, 4℃ 孵育过夜. 二抗: HRP标记山羊抗兔IgG (H+L) (货号GB23303), 1: 200稀释, 室温孵育1小时. |
储存
| 储存条件 | 在-20℃下储存一年, 避免反复冻融. |
| 储存缓冲液 | 含0.15% ProClin300防腐剂, 100 μg/mL牛血清白蛋白和50%甘油的磷酸盐缓冲液. |
注意:
1.本产品仅供研究使用.
2.建议用一抗稀释液(G2025)稀释本产品.
| 货号 | 名称 | 规格 | 价格 | 操作 |
|---|
| 货号 | 名称 | 规格 | 价格 | 操作 |
|---|



