
Anti-IGF2BP1/IMP1 Rabbit pAb
- 100 μL
产品信息
|
蛋白质全称 |
胰岛素样生长因子 2 mRNA 结合蛋白 1 |
|
别名 |
CRD-BP, CRDBP, IGF II mRNA binding protein 1, IGF2 mRNA binding protein 1, IGF2BP1, IMP-1, IMP1, VICKZ family member 1, VICKZ1, ZBP-1, ZBP1, Zip code binding protein 1, Zipcode binding protein 1 |
|
Uniprot ID |
O88477 |
|
免疫原 |
KLH偶联的小鼠IGF2BP1合成肽 |
|
抗体亚型 |
IgG |
|
预测分子量./观测分子量. |
63 kDa / 70 kDa |
|
纯化方式 |
亲和纯化 |
|
亚细胞定位 |
细胞连接, 细胞质, 细胞核 |
应用
| 应用 | 物种 | 稀释 | 阳性样品 |
| WB 免疫印迹 | 人, 小鼠, 大鼠 | 1: 500-1: 1000 | 胎盘 |
| IHC/IF 免疫组织化学/免疫荧光 | 人 | 1: 1500-1: 3000 | 胎盘 |
背景
IGF2BP1, also named as CRDBP, VICKZ1, ZBP1, is a 577 amino acid protein, which belongs to the RRM IMP/VICKZ family. IGF2BP1 can form homodimers and heterodimers with IGF2BP1 and IGF2BP3. IGF2BP1 is mainly expressed in the embryo, including in fetal liver, fetal lung, fetal kidney, fetal thymus and also expressed follicles of ovary, as well as in gonocytes of testis, spermatogonia, semen, oocytes and placenta. IGF2BP1 is Expressed in various cancers, including testis and lung cancers, as well as kidney, prostate and trachea cancers.
图像
|
|
WB检测IGF2BP1/IMP1蛋白(货号 GB113835). 样品: 经RIPA裂解液(货号G2002)处理的蛋白质. 封闭: 3%脱脂牛奶(货号GC310001)溶于TBST溶液, 室温孵育1小时. —抗: 1: 1000稀释, 4℃ 孵育过夜. 二抗: HRP标记山羊抗兔IgG (H+L) (货号GB23303), 1: 5000稀释, 室温孵育1小时. |
|
|
WB检测IGF2BP1/IMP1蛋白(货号 GB113835). 样品: 经RIPA裂解液(货号G2002)处理的蛋白质. 封闭: 3%脱脂牛奶(货号GC310001)溶于TBST溶液, 室温孵育1小时. —抗: 1: 1000稀释, 4℃ 孵育过夜. 二抗: HRP标记山羊抗兔IgG (H+L) (货号GB23303), 1: 5000稀释, 室温孵育1小时. |
|
|
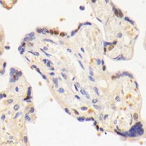
IHC检测IGF2BP1/IMP1蛋白(货号 GB113835). 样品: 人胎盘, 4%多聚甲醛 (货号G1101) 固定12-24小时. 抗原修复: 柠檬酸抗原修复液(干粉, pH 6.0) (G1201), 98℃, 20分钟. —抗: 1: 2000稀释, 4℃ 孵育过夜. 二抗: HRP标记山羊抗兔IgG (H+L) (货号GB23303), 1: 200稀释, 室温孵育1小时. |
储存
| 储存条件 | 在-20℃下储存一年, 避免反复冻融. |
| 储存缓冲液 | 含0.15% ProClin300防腐剂, 100 μg/mL牛血清白蛋白和50%甘油的磷酸盐缓冲液. |
注意:
1.本产品仅供研究使用.
2.建议用一抗稀释液(G2025)稀释本产品.
| 货号 | 名称 | 规格 | 价格 | 操作 |
|---|
| 货号 | 名称 | 规格 | 价格 | 操作 |
|---|


