
Anti-FMRP Rabbit pAb
- 50 μL
产品信息
|
蛋白质全称 |
FMRP蛋白 |
|
别名 |
Fragile X mental retardation protein 1 homolog, FMRP, Protein FMR-1, mFmr1p, Fmr1, Fmr-1, FRAXA, POF, POF1 |
|
Uniprot ID |
P35922 |
|
免疫原 |
KLH偶联的小鼠FMRP合成肽 |
|
抗体亚型 |
IgG |
|
纯化方式 |
亲和纯化 |
|
亚细胞定位 |
细胞膜, 细胞质, 细胞核 |
应用
| 应用 | 物种 | 稀释 | 阳性样品 |
| IHC/IF 免疫组织化学/免疫荧光 | 小鼠, 大鼠 | 1: 600-1: 1200 | 前额叶, 小脑 |
背景
The selective RNA-binding protein FMRP forms a messenger ribonucleoprotein complex that associates with polyribosomes, implicating in regulation of translation. FMR1 is a component of the CYFIP1-EIF4E-FMR1 complex which binds to and reperss the mRNA. It also has a role in the transport of mRNA from the nucleus to the cytoplasm. FMR1 exists several isforms and the molecular weight of FMR1 is about 59-72 kDa.
图像
|
|
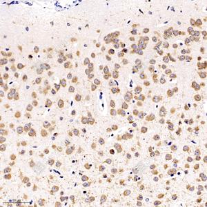
IHC检测FMRP蛋白(货号 GB113089). 样品: 小鼠前额叶, 4%多聚甲醛 (货号G1101) 固定12-24小时. 抗原修复: 柠檬酸抗原修复液(干粉, pH 6.0) (G1201), 98℃, 20分钟. —抗: 1: 600稀释, 4℃ 孵育过夜. 二抗: HRP标记山羊抗兔IgG (H+L) (货号GB23303), 1: 200稀释, 室温孵育1小时. |
|
|
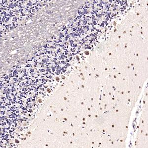
IHC检测FMRP蛋白(货号 GB113089). 样品: 大鼠小脑, 4%多聚甲醛 (货号G1101) 固定12-24小时. 抗原修复: 柠檬酸抗原修复液(干粉, pH 6.0) (G1201), 98℃, 20分钟. —抗: 1: 600稀释, 4℃ 孵育过夜. 二抗: HRP标记山羊抗兔IgG (H+L) (货号GB23303), 1: 200稀释, 室温孵育1小时. |
储存
| 储存条件 | 在-20℃下储存一年, 避免反复冻融. |
| 储存缓冲液 | 含0.15% ProClin300防腐剂, 100 μg/mL牛血清白蛋白和50%甘油的磷酸盐缓冲液. |
注意:
1.本产品仅供研究使用.
2.建议用一抗稀释液(G2025)稀释本产品.
| 货号 | 名称 | 规格 | 价格 | 操作 |
|---|
| 货号 | 名称 | 规格 | 价格 | 操作 |
|---|

