
Anti-Neurofilament heavy polypeptide Mouse mAb
- 50 μL
Product Information
| Description |
Neurofilament heavy polypeptidemouse monoclonal |
| Protein full name | Neurofilament heavy polypeptide |
|
Synonyms |
NFH ,NF-H ,KIAA0845 ,CMT2CC, Neurofilament Heavy ,Neurofilament Heavy Polypeptide 200kDa ,200 KDa Neurofilament Protein |
| Immunogen |
corresponding to human NF200 |
| Isotype | IgG |
| Purity | Affinity purification |
|
Predicted MW. |
200-220 kDa |
|
Observed MW. |
200 kDa |
| Subcellular location |
Cytoplasm |
| Uniprot ID |
Applications
Applications | Species | Dilution | Positive Tissue |
IHC | Human, Mouse, Rat | 1:100-1:500 | brain |
IF | Human, Mouse, Rat | 1:100-1:500 | brain |
Background
Neurofilaments usually contain three intermediate filament proteins: L, M, and H which are involved in the maintenance of neuronal caliber. NF-H has an important function in mature axons that is not subserved by the two smaller NF proteins.
Images
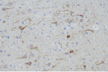
![]() |
Immunohistochemistry analysis of paraffin-embedded rat brain using NF200 (GB13141) at dilution of 1:200 |
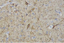
![]() |
Immunohistochemistry analysis of paraffin-embedded mouse brain using NF200 (GB13141) at dilution of 1:200 |
Storage
| Storage | Store at -20 ℃ for one year. Avoid repeated freeze/ thaw cycles. |
| Storage Buffer | PBS with 0.02% sodium azide, 100 μg/ml BSA and 50% glycerol. |
NOTE:
1.This product is intended for research only.
2.This product is recommended to dilute with the Primary Antibody Dilution Buffer (G2025).
| 货号 | 名称 | 规格 | 价格 | 操作 |
|---|
| 货号 | 名称 | 规格 | 价格 | 操作 |
|---|



