
Anti-ELAVL3 Rabbit pAb
- 100 μL
产品信息
|
蛋白质全称 |
ELAV样蛋白3 |
|
别名 |
Hu-antigen C, HuC, Elavl3, HUCL |
|
Uniprot ID |
Q60900 |
|
免疫原 |
小鼠ELAVL3重组蛋白 |
|
抗体亚型 |
IgG |
|
纯化方式 |
亲和纯化 |
|
亚细胞定位 |
细胞核 |
应用
| 应用 | 物种 | 稀释 | 阳性样品 |
| IHC/IF 免疫组织化学/免疫荧光 | 小鼠, 大鼠 | 1: 600-1: 3600 | 脑, 胚胎小鼠 |
背景
A member of the ELAVL protein family, ELAV-like 3 is a neural-specific RNA-binding protein which contains three RNP-type RNA recognition motifs. The observation that ELAVL3 is one of several Hu antigens (neuronal-specific RNA-binding proteins) recognized by the anti-Hu serum antibody present in sera from patients with paraneoplastic encephalomyelitis and sensory neuronopathy (PEM/PSN) suggests it has a role in neurogenesis. Two alternatively spliced transcript variants encoding distinct isoforms have been found for this gene.
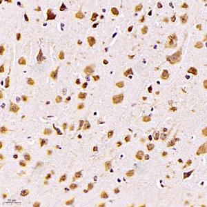
图像
|
|
IHC检测ELAVL3蛋白(货号 GB112599). 样品: 小鼠脑, 4%多聚甲醛 (货号G1101) 固定12-24小时. 抗原修复: 柠檬酸抗原修复液(干粉, pH 6.0) (G1201), 98℃, 20分钟. —抗: 1: 1800稀释, 4℃ 孵育过夜. 二抗: HRP标记山羊抗兔IgG (H+L) (货号GB23303), 1: 200稀释, 室温孵育1小时. |
|
|
IHC检测ELAVL3蛋白(货号 GB112599). 样品: 大鼠脑, 4%多聚甲醛 (货号G1101) 固定12-24小时. 抗原修复: 柠檬酸抗原修复液(干粉, pH 6.0) (G1201), 98℃, 20分钟. —抗: 1: 1800稀释, 4℃ 孵育过夜. 二抗: HRP标记山羊抗兔IgG (H+L) (货号GB23303), 1: 200稀释, 室温孵育1小时. |
|
|
IF检测ELAVL3蛋白(货号 GB112599)(红色). 样品: 小鼠胚胎小鼠, 4%多聚甲醛 (货号G1101) 固定12-24小时. 抗原修复: Tris-EDTA抗原修复液(pH 9.0) (G1203), 98℃, 20分钟. 封闭: 3% BSA(货号GC305010)的PBS溶液, 室温孵育30分钟. —抗: 1: 700稀释, 4℃ 孵育过夜. 二抗: Cy3标记山羊抗兔IgG (H+L) (货号GB21303), 1: 300稀释, 室温孵育1小时. |
储存
| 储存条件 | 在-20℃下储存一年, 避免反复冻融. |
| 储存缓冲液 | 含0.15% ProClin300防腐剂, 100 μg/mL牛血清白蛋白和50%甘油的磷酸盐缓冲液. |
注意:
1.本产品仅供研究使用.
2.建议用一抗稀释液(G2025)稀释本产品.
| 货号 | 名称 | 规格 | 价格 | 操作 |
|---|
| 货号 | 名称 | 规格 | 价格 | 操作 |
|---|


