
Anti-FKBP2 Rabbit pAb
- 100 μL
产品信息
|
蛋白质全称 |
FK506结合蛋白2(13kDa) |
|
别名 |
13 kDa FK506 binding protein, 13 kDa FKBP, FK506 binding protein 2, FK506 binding protein 2, 13kDa, FKBP 13, FKBP 2, FKBP13, FKBP2, Immunophilin FKBP13, PPIase, PPIase FKBP2, Rotamase |
|
Uniprot ID |
P45878 |
|
免疫原 |
小鼠FKBP2重组蛋白 |
|
抗体亚型 |
IgG |
|
预测分子量./观测分子量. |
15 kDa / 14 kDa |
|
纯化方式 |
亲和纯化 |
|
亚细胞定位 |
内质网膜, 外周膜蛋白 |
应用
| 应用 | 物种 | 稀释 | 阳性样品 |
| WB 免疫印迹 | 人, 小鼠, 大鼠 | 1: 300-1: 600 | 脑, 肝, 胎盘 |
| IHC/IF 免疫组织化学/免疫荧光 | 人 | 1: 700-1: 1400 | 扁桃体 |
背景
FKBP2 is also named as FKBP13 and belongs to the FKBP-type PPIase family. It catalyzes the cis-trans isomerization of proline imidic peptide bonds in oligopeptides. FKBP2 has a 21-amino acid signal peptide and appears to be membrane-associated(PMID:1713687). It is localized to the lumen of the endoplasmic reticulum (ER). FKBP12 and FKBP13 are highly similar proteins, of molecular masses 12 kDa and 13 kDa respectively, with approx.43 % amino acid identity. The strong homology between FKBP12 and FKBP13 suggests that they may share similar biological functions, although, apart from rotamase activity, details relating to the function of either protein are scant(PMID:8373365).
图像
|
|
WB检测FKBP2蛋白(货号 GB114174). 样品: 经RIPA裂解液(货号G2002)处理的蛋白质. 封闭: 3%脱脂牛奶(货号GC310001)溶于TBST溶液, 室温孵育1小时. —抗: 1: 600稀释, 4℃ 孵育过夜. 二抗: HRP标记山羊抗兔IgG (H+L) (货号GB23303), 1: 5000稀释, 室温孵育1小时. |
|
|
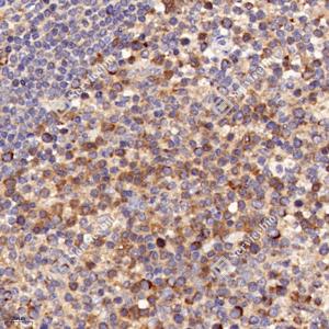
IHC检测FKBP2蛋白(货号 GB114174). 样品: 人扁桃体, 4%多聚甲醛 (货号G1101) 固定12-24小时. 抗原修复: 柠檬酸抗原修复液(干粉, pH 6.0) (G1201), 高压锅均匀喷气计时2分钟. —抗: 1: 700稀释, 4℃ 孵育过夜. 二抗: HRP标记山羊抗兔IgG (H+L) (货号GB23303), 1: 200稀释, 室温孵育1小时. |
|
|
IF检测FKBP2蛋白(货号 GB114174)(红色). 样品: 人扁桃体, 4%多聚甲醛 (货号G1101) 固定12-24小时. 抗原修复: Tris-EDTA抗原修复液(pH 9.0) (G1203), 98℃, 20分钟. 封闭: 3% BSA(货号GC305010)的PBS溶液, 室温孵育30分钟. —抗: 1: 700稀释, 4℃ 孵育过夜. 二抗: Cy3标记山羊抗兔IgG (H+L) (货号GB21303), 1: 300稀释, 室温孵育1小时. |
储存
| 储存条件 | 在-20℃下储存一年, 避免反复冻融. |
| 储存缓冲液 | 含0.15% ProClin300防腐剂, 100 μg/mL牛血清白蛋白和50%甘油的磷酸盐缓冲液. |
注意:
1.本产品仅供研究使用.
2.建议用一抗稀释液(G2025)稀释本产品.
| 货号 | 名称 | 规格 | 价格 | 操作 |
|---|
| 货号 | 名称 | 规格 | 价格 | 操作 |
|---|


