
Anti-FKBP12 Rabbit pAb
- 100 μL
产品信息
|
蛋白质全称 |
FKBP1A肽基脯氨酰异构酶 |
|
别名 |
12 kDa FK506 binding protein, 12 kDa FKBP, FK506 binding protein 1A, FKBP 12, FKBP 1A, FKBP1, FKBP12, FKBP12C, FKBP1A, Immunophilin FKBP12, PKC12, PKCI2, PPIASE, PPIase FKBP1A, Rotamase |
|
Uniprot ID |
P26883 |
|
免疫原 |
KLH偶联的小鼠FKBP12合成肽 |
|
抗体亚型 |
IgG |
|
纯化方式 |
亲和纯化 |
|
亚细胞定位 |
细胞质 |
应用
| 应用 | 物种 | 稀释 | 阳性样品 |
| IHC/IF 免疫组织化学/免疫荧光 | 人 | 1: 1500-1: 3000 | 结肠癌,食道癌, 食道 |
背景
FKBP1A(FK506-binding protein 1A) is also named as FKBP1, FKBP12 and belongs to the FKBP-type PPIase family.It keeps in an inactive conformation TGFBR1, the TGF-beta type I serine/threonine kinase receptor, preventing TGF-beta receptor activation in absence of ligand and catalyzes the cis-trans isomerization of proline imidic peptide bonds in oligopeptides.
图像
|
|
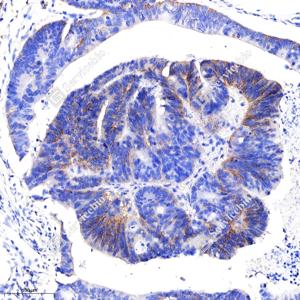
IHC检测FKBP12蛋白(货号 GB113132). 样品: 人结肠癌, 4%多聚甲醛 (货号G1101) 固定12-24小时. 抗原修复: 柠檬酸抗原修复液(干粉, pH 6.0) (G1201), 98℃, 20分钟. —抗: 1: 1500稀释, 4℃ 孵育过夜. 二抗: HRP标记山羊抗兔IgG (H+L) (货号GB23303), 1: 200稀释, 室温孵育1小时. |
|
|
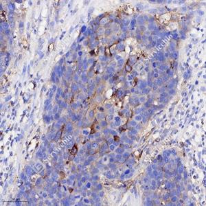
IHC检测FKBP12蛋白(货号 GB113132). 样品: 人食管癌, 4%多聚甲醛 (货号G1101) 固定12-24小时. 抗原修复: 柠檬酸抗原修复液(干粉, pH 6.0) (G1201), 98℃, 20分钟. —抗: 1: 1500稀释, 4℃ 孵育过夜. 二抗: HRP标记山羊抗兔IgG (H+L) (货号GB23303), 1: 200稀释, 室温孵育1小时. |
|
|
IHC检测FKBP12蛋白(货号 GB113132). 样品: 人食管, 4%多聚甲醛 (货号G1101) 固定12-24小时. 抗原修复: 柠檬酸抗原修复液(干粉, pH 6.0) (G1201), 98℃, 20分钟. —抗: 1: 1500稀释, 4℃ 孵育过夜. 二抗: HRP标记山羊抗兔IgG (H+L) (货号GB23303), 1: 200稀释, 室温孵育1小时. |
储存
| 储存条件 | 在-20℃下储存一年, 避免反复冻融. |
| 储存缓冲液 | 含0.15% ProClin300防腐剂, 100 μg/mL牛血清白蛋白和50%甘油的磷酸盐缓冲液. |
注意:
1.本产品仅供研究使用.
2.建议用一抗稀释液(G2025)稀释本产品.
| 货号 | 名称 | 规格 | 价格 | 操作 |
|---|
| 货号 | 名称 | 规格 | 价格 | 操作 |
|---|


