
Anti-CRMP4 Rabbit pAb
- 100 μL
产品信息
|
蛋白质全称 |
二氢嘧啶酶相关蛋白3 |
|
别名 |
CRMP-4, CRMP4, dihydropyrimidinase like 3, DPYSL3, DRP 3, DRP3, LCRMP, ULIP, ULIP 1, ULIP1, Unc 33 like phosphoprotein 1 |
|
Uniprot ID |
Q62188 |
|
免疫原 |
KLH偶联的小鼠DPYSL3合成肽 |
|
抗体亚型 |
IgG |
|
预测分子量./观测分子量. |
62 kDa / 62 kDa |
|
纯化方式 |
亲和纯化 |
|
亚细胞定位 |
细胞突起, 细胞质 |
应用
| 应用 | 物种 | 稀释 | 阳性样品 |
| WB 免疫印迹 | 小鼠, 大鼠 | 1: 300-1: 1000 | 脑, 卵巢 |
| IHC/IF 免疫组织化学/免疫荧光 | 人, 小鼠, 大鼠 | 1: 500-1: 3000 | 海马区, 肝癌 |
背景
DPYSL3(Dihydropyrimidinase-related protein 3) is also named as CRMP4, DRP3, ULIP, ULIP1 and belongs to the hydantoinase/dihydropyrimidinase subfamily.DPYSL3 is a developmentally regulated protein, strongly expressed in early embryonic post-mitotic neural cells, reaching a peak of expression around the first post-natal week. In the adult brain, DPYSL3 is present mainly in regions that retain neurogenesis.DPYSL3 protein is also found in synaptic sites at the adult neuromuscular junction where it may be involved in the maintenance of neuronal stability. It has 2 isoforms produced by alternative splicing.
图像
|
|
WB检测CRMP4蛋白(货号 GB113819). 样品: 经RIPA裂解液(货号G2002)处理的蛋白质. 封闭: 3%脱脂牛奶(货号GC310001)溶于TBST溶液, 室温孵育1小时. —抗: 1: 300稀释, 4℃ 孵育过夜. 二抗: HRP标记山羊抗兔IgG (H+L) (货号GB23303), 1: 5000稀释, 室温孵育1小时. |
|
|
IHC检测CRMP4蛋白(货号 GB113819). 样品: 人肝癌, 4%多聚甲醛 (货号G1101) 固定12-24小时. 抗原修复: 柠檬酸抗原修复液(干粉, pH 6.0) (G1201), 98℃, 20分钟. —抗: 1: 2000稀释, 4℃ 孵育过夜. 二抗: HRP标记山羊抗兔IgG (H+L) (货号GB23303), 1: 200稀释, 室温孵育1小时. |
|
|
IHC检测CRMP4蛋白(货号 GB113819). 样品: 小鼠海马区, 4%多聚甲醛 (货号G1101) 固定12-24小时. 抗原修复: 柠檬酸抗原修复液(干粉, pH 6.0) (G1201), 98℃, 20分钟. —抗: 1: 2000稀释, 4℃ 孵育过夜. 二抗: HRP标记山羊抗兔IgG (H+L) (货号GB23303), 1: 200稀释, 室温孵育1小时. |
|
|
IHC检测CRMP4蛋白(货号 GB113819). 样品: 大鼠海马区, 4%多聚甲醛 (货号G1101) 固定12-24小时. 抗原修复: 柠檬酸抗原修复液(干粉, pH 6.0) (G1201), 98℃, 20分钟. —抗: 1: 2000稀释, 4℃ 孵育过夜. 二抗: HRP标记山羊抗兔IgG (H+L) (货号GB23303), 1: 200稀释, 室温孵育1小时. |
|
|
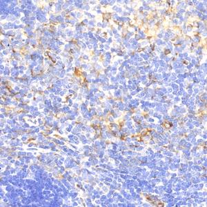
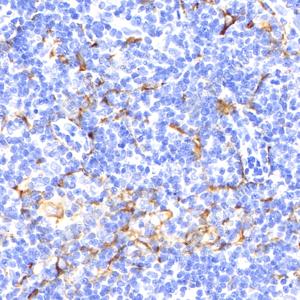
IHC检测CRMP4蛋白(货号 GB113819). 样品: 小鼠胸腺, 4%多聚甲醛 (货号G1101) 固定12-24小时. 抗原修复: 柠檬酸抗原修复液(干粉, pH 6.0) (G1201), 98℃, 20分钟. —抗: 1: 2000稀释, 4℃ 孵育过夜. 二抗: HRP标记山羊抗兔IgG (H+L) (货号GB23303), 1: 200稀释, 室温孵育1小时. |
|
|
IHC检测CRMP4蛋白(货号 GB113819). 样品: 大鼠胸腺, 4%多聚甲醛 (货号G1101) 固定12-24小时. 抗原修复: 柠檬酸抗原修复液(干粉, pH 6.0) (G1201), 98℃, 20分钟. —抗: 1: 2000稀释, 4℃ 孵育过夜. 二抗: HRP标记山羊抗兔IgG (H+L) (货号GB23303), 1: 200稀释, 室温孵育1小时. |
储存
| 储存条件 | 在-20℃下储存一年, 避免反复冻融. |
| 储存缓冲液 | 含0.15% ProClin300防腐剂, 100 μg/mL牛血清白蛋白和50%甘油的磷酸盐缓冲液. |
注意:
1.本产品仅供研究使用.
2.建议用一抗稀释液(G2025)稀释本产品.
| 货号 | 名称 | 规格 | 价格 | 操作 |
|---|
| 货号 | 名称 | 规格 | 价格 | 操作 |
|---|





