
Anti-PARK7/DJ1 Rabbit pAb
- 50 μL
产品信息
|
蛋白质全称 |
帕金森病相关蛋白 DJ-1 |
|
别名 |
PARK7, DJ-1, DJ1, HEL-S-67p, Parkinsonism associated deglycase, GATD2 |
|
Uniprot ID |
Q99LX0 |
|
免疫原 |
小鼠PARK7重组蛋白 |
|
抗体亚型 |
IgG |
|
预测分子量./观测分子量. |
20 kDa / 24 kDa |
|
纯化方式 |
亲和纯化 |
|
亚细胞定位 |
细胞膜, 线粒体, 细胞核 |
应用
| 应用 | 物种 | 稀释 | 阳性样品 |
| WB 免疫印迹 | 人, 小鼠, 大鼠 | 1: 500-1: 1000 | 心, 肝, 肾, 脑 |
| IHC/IF 免疫组织化学/免疫荧光 | 大鼠 | 1: 500-1: 3000 | 胰腺 |
背景
Protein deglycase DJ-1, also known as Parkinson disease protein 7, is a protein which in humans is encoded by the PARK7 gene. Under an oxidative condition, protein deglycase DJ-1 inhibits the aggregation of α-synuclein via its chaperone activity, thus functions as a redox-sensitive chaperone and as a sensor for oxidative stress. Accordingly, DJ-1 apparently protects neurons against oxidative stress and cell death. In parallel, Protein DJ-1 acts as a positive regulator of androgen receptor-dependent transcription.
图像
|
|
WB检测PARK7/DJ1蛋白(货号 GB11639). 样品: 经RIPA裂解液(货号G2002)处理的蛋白质. 封闭: 3%脱脂牛奶(货号GC310001)溶于TBST溶液, 室温孵育1小时. —抗: 1: 500稀释, 4℃ 孵育过夜. 二抗: HRP标记山羊抗兔IgG (H+L) (货号GB23303), 1: 5000稀释, 室温孵育1小时. |
|
|
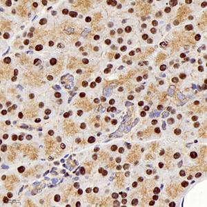
IHC检测PARK7/DJ1蛋白(货号 GB11639). 样品: 大鼠胰腺, 4%多聚甲醛 (货号G1101) 固定12-24小时. 抗原修复: Tris-EDTA抗原修复液(pH 9.0) (G1203), 98℃, 20分钟. —抗: 1: 3000稀释, 4℃ 孵育过夜. 二抗: HRP标记山羊抗兔IgG (H+L) (货号GB23303), 1: 200稀释, 室温孵育1小时. |
储存
| 储存条件 | 在-20℃下储存一年, 避免反复冻融. |
| 储存缓冲液 | 含0.15% ProClin300防腐剂, 100 μg/mL牛血清白蛋白和50%甘油的磷酸盐缓冲液. |
注意:
1.本产品仅供研究使用.
2.建议用一抗稀释液(G2025)稀释本产品.
| 货号 | 名称 | 规格 | 价格 | 操作 |
|---|
| 货号 | 名称 | 规格 | 价格 | 操作 |
|---|

