
Anti-beta Amyloid 1-42 Rabbit pAb
- 100 μL
产品信息
|
蛋白质全称 |
淀粉样β前体蛋白 |
|
别名 |
Amyloid-beta (A4) precursor protein, Aβ42, beta Amyloid 1-42, Aβ 1-42 , Amyloid beta 42 |
|
Uniprot ID |
P12023 |
|
免疫原 |
KLH偶联的小鼠Amyloid beta 42合成肽 |
|
抗体亚型 |
IgG |
|
纯化方式 |
亲和纯化 |
|
亚细胞定位 |
细胞膜, 细胞质 |
应用
| 应用 | 物种 | 稀释 | 阳性样品 |
| IHC/IF 免疫组织化学/免疫荧光 | 人, 小鼠, 大鼠 | 1: 400-1: 1200 | FAD4T小鼠阿尔茨海默病脑模型 |
背景
Alzheimer's disease (AD), the most common neurodegenerative disease, is pathologically characterized by beta-amyloid peptide deposition in extracellular amyloid plaques, intracellular neurofibrillary tangles, and loss of neurons in affected brain regions. It is widely believed that the accumulation of toxic oligomer aggregates of Aβ42 (beta Amyloid 1-42) in the brain plays A crucial role in the occurrence and development of AD.
图像
|
|
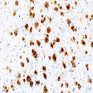
IHC检测beta Amyloid 1-42蛋白(货号 GB115755). 样品: 阿尔茨海默病FAD4T小鼠脑模型, 4%多聚甲醛 (货号G1101) 固定12-24小时. 抗原修复: 柠檬酸抗原修复液(干粉, pH 6.0) (G1201), 98℃, 20分钟. —抗: 1: 600稀释, 4℃ 孵育过夜. 二抗: S-vision免疫组化多聚二抗(山羊抗兔),即用型 (货号G1302), 室温孵育20分钟. |
|
|
IHC检测beta Amyloid 1-42蛋白(货号 GB115755). 样品: 阿尔茨海默病FAD4T小鼠脑模型, 4%多聚甲醛 (货号G1101) 固定12-24小时. 抗原修复: 柠檬酸抗原修复液(干粉, pH 6.0) (G1201), 98℃, 20分钟. —抗: 1: 600稀释, 4℃ 孵育过夜. 二抗: S-vision免疫组化多聚二抗(山羊抗兔),即用型 (货号G1302), 室温孵育20分钟. |
|
|
IHC检测beta Amyloid 1-42蛋白(货号 GB115755). 样品: 阿尔茨海默病FAD4T小鼠脑模型, 4%多聚甲醛 (货号G1101) 固定12-24小时. 抗原修复: 柠檬酸抗原修复液(干粉, pH 6.0) (G1201), 98℃, 20分钟. —抗: 1: 600稀释, 4℃ 孵育过夜. 二抗: S-vision免疫组化多聚二抗(山羊抗兔),即用型 (货号G1302), 室温孵育20分钟. |
|
|
IHC检测beta Amyloid 1-42蛋白(货号 GB115755). 样品: 阿尔茨海默病FAD4T小鼠脑模型, 4%多聚甲醛 (货号G1101) 固定12-24小时. 抗原修复: 柠檬酸抗原修复液(干粉, pH 6.0) (G1201), 98℃, 20分钟. —抗: 1: 600稀释, 4℃ 孵育过夜. 二抗: S-vision免疫组化多聚二抗(山羊抗兔),即用型 (货号G1302), 室温孵育20分钟. |
|
|
IHC检测beta Amyloid 1-42蛋白(货号 GB115755). 样品: 阿尔茨海默病FAD4T小鼠脑模型, 4%多聚甲醛 (货号G1101) 固定12-24小时. 抗原修复: 柠檬酸抗原修复液(干粉, pH 6.0) (G1201), 98℃, 20分钟. —抗: 1: 600稀释, 4℃ 孵育过夜. 二抗: S-vision免疫组化多聚二抗(山羊抗兔),即用型 (货号G1302), 室温孵育20分钟. |
|
|
IF检测beta Amyloid 1-42蛋白(货号 GB115755)(红色). 样品: 阿尔茨海默病FAD4T小鼠脑模型, 4%多聚甲醛 (货号G1101) 固定12-24小时. 抗原修复: Tris-EDTA抗原修复液(pH 9.0) (G1203), 98℃, 20分钟. 封闭: 3% BSA(货号GC305010)的PBS溶液, 室温孵育30分钟. —抗: 1: 600稀释, 4℃ 孵育过夜. 二抗: Cy3标记山羊抗兔IgG (H+L) (货号GB21303), 1: 300稀释, 室温孵育1小时. |
|
|
IF检测beta Amyloid 1-42蛋白(货号 GB115755)(红色). 样品: 阿尔茨海默病FAD4T小鼠脑模型, 4%多聚甲醛 (货号G1101) 固定12-24小时. 抗原修复: Tris-EDTA抗原修复液(pH 9.0) (G1203), 98℃, 20分钟. 封闭: 3% BSA(货号GC305010)的PBS溶液, 室温孵育30分钟. —抗: 1: 600稀释, 4℃ 孵育过夜. 二抗: Cy3标记山羊抗兔IgG (H+L) (货号GB21303), 1: 300稀释, 室温孵育1小时. |
储存
| 储存条件 | 在-20℃下储存一年, 避免反复冻融. |
| 储存缓冲液 | 含0.15% ProClin300防腐剂, 100 μg/mL牛血清白蛋白和50%甘油的磷酸盐缓冲液. |
注意:
1.本产品仅供研究使用.
2.建议用一抗稀释液(G2025)稀释本产品.
| 货号 | 名称 | 规格 | 价格 | 操作 |
|---|
| 货号 | 名称 | 规格 | 价格 | 操作 |
|---|






