
Anti-Neuropilin 1 Rabbit pAb
- 100 μL
产品信息
|
蛋白质全称 |
神经纤毛蛋白-1 |
|
别名 |
A5 protein, CD304, Nrp1, Nrp |
|
Uniprot ID |
P97333 |
|
免疫原 |
小鼠Neuropilin 1重组蛋白 |
|
抗体亚型 |
IgG |
|
纯化方式 |
亲和纯化 |
|
亚细胞定位 |
细胞膜 |
应用
| 应用 | 物种 | 稀释 | 阳性样品 |
| IHC/IF 免疫组织化学/免疫荧光 | 人, 小鼠, 大鼠 | 1: 1300-1: 2800 | 脑, 肝癌 |
背景
Neuropilin 1 is a membrane-bound coreceptor to a tyrosine kinase receptor for both vascular endothelial growth factor and semaphorin family members. NRP1 was first identified as a semaphorin (SEMA) receptor, involved in axonal guidance in embryonic development. NRP1 was also shown to act as a receptor for vascular endothelial growth factor (VEGF) and a promoter of angiogenesis through its interaction with VEGF-A165 (and other VEGFs) and the receptor tyrosine kinase (RTK) VEGF-R2.
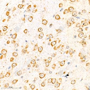
图像
|
|
IHC检测Neuropilin 1蛋白(货号 GB111325). 样品: 小鼠脑, 4%多聚甲醛 (货号G1101) 固定12-24小时. 抗原修复: 柠檬酸抗原修复液(干粉, pH 6.0) (G1201), 98℃, 20分钟. —抗: 1: 1400稀释, 4℃ 孵育过夜. 二抗: HRP标记山羊抗兔IgG (H+L) (货号GB23303), 1: 200稀释, 室温孵育1小时. |
|
|
IHC检测Neuropilin 1蛋白(货号 GB111325). 样品: 大鼠脑, 4%多聚甲醛 (货号G1101) 固定12-24小时. 抗原修复: 柠檬酸抗原修复液(干粉, pH 6.0) (G1201), 98℃, 20分钟. —抗: 1: 1400稀释, 4℃ 孵育过夜. 二抗: HRP标记山羊抗兔IgG (H+L) (货号GB23303), 1: 200稀释, 室温孵育1小时. |
|
|
IF检测Neuropilin 1蛋白(货号 GB111325)(红色). 样品: 人肝癌, 4%多聚甲醛 (货号G1101) 固定12-24小时. 抗原修复: Tris-EDTA抗原修复液(pH 9.0) (G1203), 98℃, 20分钟. 封闭: 3% BSA(货号GC305010)的PBS溶液, 室温孵育30分钟. —抗: 1: 1300稀释, 4℃ 孵育过夜. 二抗: Cy3标记山羊抗兔IgG (H+L) (货号GB21303), 1: 300稀释, 室温孵育1小时. |
储存
| 储存条件 | 在-20℃下储存一年, 避免反复冻融. |
| 储存缓冲液 | 含0.15% ProClin300防腐剂, 100 μg/mL牛血清白蛋白和50%甘油的磷酸盐缓冲液. |
注意:
1.本产品仅供研究使用.
2.建议用一抗稀释液(G2025)稀释本产品.
| 货号 | 名称 | 规格 | 价格 | 操作 |
|---|
| 货号 | 名称 | 规格 | 价格 | 操作 |
|---|


