
Anti-PAX7 Rabbit pAb
- 100 μL
产品信息
|
蛋白质全称 |
配对盒蛋白Pax7 |
|
别名 |
HUP1, paired box 7, Paired box protein Pax 7, PAX7, PAX7B, RMS2, PAX7 transcriptional factor |
|
Uniprot ID |
P47239 |
|
免疫原 |
小鼠PAX7重组蛋白 |
|
抗体亚型 |
IgG |
|
纯化方式 |
亲和纯化 |
|
亚细胞定位 |
细胞核 |
应用
| 应用 | 物种 | 稀释 | 阳性样品 |
| IHC/IF 免疫组织化学/免疫荧光 | 小鼠 | 1: 2100-1: 4200 | 胎鼠海马区 |
背景
PAX7, also named as HUP1, belongs to the paired homeobox family. It is probable a transcription factor. PAX7 may have a role in myogenesis. A chromosomal aberration involving PAX7 is a cause of rhabdomyosarcoma 2 (RMS2) which also known as alveolar rhabdomyosarcoma. The antibody is specific to PAX7. It will not cross react with other PAX members.
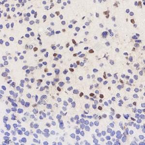
图像
|
|
IHC检测PAX7蛋白(货号 GB113190). 样品: 小鼠胎鼠海马体, 4%多聚甲醛 (货号G1101) 固定12-24小时. 抗原修复: 柠檬酸抗原修复液(干粉, pH 6.0) (G1201), 98℃, 20分钟. —抗: 1: 4200稀释, 4℃ 孵育过夜. 二抗: HRP标记山羊抗兔IgG (H+L) (货号GB23303), 1: 200稀释, 室温孵育1小时. |
储存
| 储存条件 | 在-20℃下储存一年, 避免反复冻融. |
| 储存缓冲液 | 含0.15% ProClin300防腐剂, 100 μg/mL牛血清白蛋白和50%甘油的磷酸盐缓冲液. |
注意:
1.本产品仅供研究使用.
2.建议用一抗稀释液(G2025)稀释本产品.
| 货号 | 名称 | 规格 | 价格 | 操作 |
|---|
| 货号 | 名称 | 规格 | 价格 | 操作 |
|---|
