
Anti-Galanin Rabbit pAb
¥950
货号:YB112589-50
品牌:YIKE
规格:
- 50 μL
数量:
产品信息
蛋白质全称 | 甘丙肽 |
别名 | Galanin, GMAP, Gal, Galn, GLNN, Galanin message-associated peptide |
Uniprot ID | P47212 |
免疫原 | 人Galanin重组蛋白 |
抗体亚型 | IgG |
纯化方式 | 亲和纯化 |
亚细胞定位 | 分泌型 |
应用
| 应用 | 物种 | 稀释 | 阳性样品 |
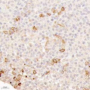
| IHC/IF 免疫组织化学/免疫荧光 | 小鼠 | 1: 500-1: 2000 | 脑下垂体 |
背景
Galanin is small neuropeptide that functions as a cellular messenger within the central and peripheral nervous systems, modulating diverse physiologic functions .
图像
| IHC检测Galanin蛋白(货号 GB112578). 样品: 小鼠垂体, 4%多聚甲醛 (货号G1101) 固定12-24小时. 抗原修复: 柠檬酸抗原修复液(干粉, pH 6.0) (G1201), 98℃, 20分钟. —抗: 1: 500稀释, 4℃ 孵育过夜. 二抗: HRP标记山羊抗兔IgG (H+L) (货号GB23303), 1: 200稀释, 室温孵育1小时. |
储存
| 储存条件 | 在-20℃下储存一年, 避免反复冻融. |
| 储存缓冲液 | 含0.15% ProClin300防腐剂, 100 μg/mL牛血清白蛋白和50%甘油的磷酸盐缓冲液. |
注意:
1.本产品仅供研究使用.
2.建议用一抗稀释液(G2025)稀释本产品.
服务推荐
| 货号 | 名称 | 规格 | 价格 | 操作 |
|---|
产品推荐
| 货号 | 名称 | 规格 | 价格 | 操作 |
|---|
