
Anti-Glutamine Synthetase Mouse mAb
- 50 μL
产品信息
|
蛋白质全称 |
谷氨酰胺合成酶 |
|
别名 |
cell proliferation-inducing protein 59, GLNA, GLNS, GLUL, Glutamate ammonia ligase, Glutamate decarboxylase, Glutamine synthetase, GS, PIG43, PIG59, Proliferation inducing protein 43, Palmitoyltransferase GLUL |
|
Uniprot ID |
P15104 |
|
免疫原 |
人Glutamine Synthetase重组蛋白 |
|
抗体亚型 |
IgG1, κ |
|
克隆号 |
2D4E9 |
|
预测分子量./观测分子量. |
42 kDa / 42 kDa |
|
纯化方式 |
亲和纯化 |
|
亚细胞定位 |
细胞膜, 细胞质 |
应用
| 应用 | 物种 | 稀释 | 阳性样品 |
| WB 免疫印迹 | 人, 小鼠, 大鼠 | 1: 500-1: 1000 | 肝, 睾丸, 脑 |
| IHC/IF 免疫组织化学/免疫荧光 | 人, 小鼠, 大鼠 | 1: 3000-1: 6000 | 肝, 肝癌, 胶质瘤, 脑 |
背景
Glutamine Synthetase catalyzes the conversion of ammonia and glutamate to glutamine. It is found in astrocytes as an octamer of identical 42 kDa subunits. The function of Glutamine Synthetase is the detoxification of brain ammonia. It also has an important role in the metabolic regulation of neurotransmitter glutamate. Because of the multiple functions and importance of Glutamine Synthetase in cellular metabolism, both catalytic activities and synthesis are highly regulated. The activity of Glutamine Synthetase is controlled by adenylylation.
图像
|
|
WB检测Glutamine Synthetase蛋白(货号 GB121177). 样品: 经RIPA裂解液(货号G2002)处理的蛋白质. 封闭: 3%脱脂牛奶(货号GC310001)溶于TBST溶液, 室温孵育1小时. —抗: 1: 1000稀释, 4℃ 孵育过夜. 二抗: HRP标记山羊抗小鼠IgG (H+L) (货号GB23301), 1: 5000稀释, 室温孵育1小时. |
|
|
WB检测Glutamine Synthetase蛋白(货号 GB121177). 样品: 经RIPA裂解液(货号G2002)处理的蛋白质. 封闭: 3%脱脂牛奶(货号GC310001)溶于TBST溶液, 室温孵育1小时. —抗: 1: 1000稀释, 4℃ 孵育过夜. 二抗: HRP标记山羊抗小鼠IgG (H+L) (货号GB23301), 1: 5000稀释, 室温孵育1小时. |
|
|
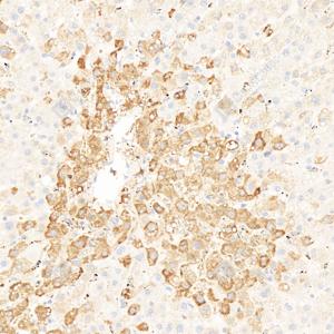
IHC检测Glutamine Synthetase蛋白(货号 GB121177). 样品: 人肝癌, 4%多聚甲醛 (货号G1101) 固定12-24小时. 抗原修复: 柠檬酸抗原修复液(干粉, pH 6.0) (G1201), 98℃, 20分钟. —抗: 1: 6000稀释, 4℃ 孵育过夜. 二抗: HRP标记山羊抗小鼠IgG (H+L) (货号GB23301), 1: 200稀释, 室温孵育1小时. |
|
|
IHC检测Glutamine Synthetase蛋白(货号 GB121177). 样品: 人肝, 4%多聚甲醛 (货号G1101) 固定12-24小时. 抗原修复: 柠檬酸抗原修复液(干粉, pH 6.0) (G1201), 98℃, 20分钟. —抗: 1: 4000稀释, 4℃ 孵育过夜. 二抗: HRP标记山羊抗小鼠IgG (H+L) (货号GB23301), 1: 200稀释, 室温孵育1小时. |
|
|
IHC检测Glutamine Synthetase蛋白(货号 GB121177). 样品: 小鼠脑, 4%多聚甲醛 (货号G1101) 固定12-24小时. 抗原修复: 柠檬酸抗原修复液(干粉, pH 6.0) (G1201), 98℃, 20分钟. —抗: 1: 4000稀释, 4℃ 孵育过夜. 二抗: HRP标记山羊抗小鼠IgG (H+L) (货号GB23301), 1: 200稀释, 室温孵育1小时. |
|
|
IHC检测Glutamine Synthetase蛋白(货号 GB121177). 样品: 大鼠肝, 4%多聚甲醛 (货号G1101) 固定12-24小时. 抗原修复: 柠檬酸抗原修复液(干粉, pH 6.0) (G1201), 98℃, 20分钟. —抗: 1: 4000稀释, 4℃ 孵育过夜. 二抗: HRP标记山羊抗小鼠IgG (H+L) (货号GB23301), 1: 200稀释, 室温孵育1小时. |
|
|
IHC检测Glutamine Synthetase蛋白(货号 GB121177). 样品: 人脑胶质瘤, 4%多聚甲醛 (货号G1101) 固定12-24小时. 抗原修复: 柠檬酸抗原修复液(干粉, pH 6.0) (G1201), 98℃, 20分钟. —抗: 1: 4000稀释, 4℃ 孵育过夜. 二抗: HRP标记山羊抗小鼠IgG (H+L) (货号GB23301), 1: 200稀释, 室温孵育1小时. |
储存
| 储存条件 | 在-20℃下储存一年, 避免反复冻融. |
| 储存缓冲液 | 含0.15% ProClin300防腐剂, 100 μg/mL牛血清白蛋白和50%甘油的磷酸盐缓冲液. |
注意:
1.本产品仅供研究使用.
2.建议用一抗稀释液(G2025)稀释本产品.
| 货号 | 名称 | 规格 | 价格 | 操作 |
|---|
| 货号 | 名称 | 规格 | 价格 | 操作 |
|---|






