
Anti-ARD1A Rabbit pAb
- 50 μL
产品信息
|
蛋白质全称 |
N-α-乙酰转移酶10 |
|
别名 |
Naa10, NAA10, ARD1, ARD1A, ARD1P, DXS707, MCOPS1, NATD, TE2, OGDNS, N(alpha)-acetyltransferase 10, NatA catalytic subunit, hARD1 |
|
Uniprot ID |
Q9QY36 |
|
免疫原 |
KLH偶联的小鼠ARD1A合成肽 |
|
抗体亚型 |
IgG |
|
预测分子量./观测分子量. |
27 kDa / 29 kDa |
|
纯化方式 |
亲和纯化 |
|
亚细胞定位 |
细胞核, 细胞质 |
应用
| 应用 | 物种 | 稀释 | 阳性样品 |
| WB 免疫印迹 | 人 | 1: 300-1: 800 | HeLa细胞, MCF7细胞, HCT116细胞 |
| IHC/IF 免疫组织化学/免疫荧光 | 小鼠, 大鼠 | 1: 500-1: 3000 | 小脑, 脾, 睾丸 |
背景
N-alpha-acetyltransferase 10 (NAA10) is an enzyme subunit encoded by NAA10 gene. Together with its auxiliary subunit Naa15, Naa10 constitutes the NatA (Nα-acetyltransferase A) complex that specifically catalyzes the transfer of an acetyl group from acetyl-CoA to the N-terminal primary amino group of certain proteins. In higher eukaryotes, 5 other N-acetyltransferase (NAT) complexes, NatB-NatF, have been described that differ both in substrate specificity and subunit composition.
图像
|
|
WB检测ARD1A蛋白(货号 GB11808). 样品: 经RIPA裂解液(货号G2002)处理的蛋白质. 封闭: 3%脱脂牛奶(货号GC310001)溶于TBST溶液, 室温孵育1小时. —抗: 1: 300稀释, 4℃ 孵育过夜. 二抗: HRP标记山羊抗兔IgG (H+L) (货号GB23303), 1: 5000稀释, 室温孵育1小时. |
|
|
IHC检测ARD1A蛋白(货号 GB11808). 样品: 小鼠小脑, 4%多聚甲醛 (货号G1101) 固定12-24小时. 抗原修复: 柠檬酸抗原修复液(干粉, pH 6.0) (G1201), 98℃, 20分钟. —抗: 1: 1500稀释, 4℃ 孵育过夜. 二抗: HRP标记山羊抗兔IgG (H+L) (货号GB23303), 1: 200稀释, 室温孵育1小时. |
|
|
IHC检测ARD1A蛋白(货号 GB11808). 样品: 大鼠小脑, 4%多聚甲醛 (货号G1101) 固定12-24小时. 抗原修复: 柠檬酸抗原修复液(干粉, pH 6.0) (G1201), 98℃, 20分钟. —抗: 1: 1500稀释, 4℃ 孵育过夜. 二抗: HRP标记山羊抗兔IgG (H+L) (货号GB23303), 1: 200稀释, 室温孵育1小时. |
|
|
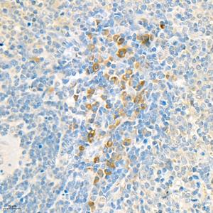
IHC检测ARD1A蛋白(货号 GB11808). 样品: 大鼠脾, 4%多聚甲醛 (货号G1101) 固定12-24小时. 抗原修复: 柠檬酸抗原修复液(干粉, pH 6.0) (G1201), 98℃, 20分钟. —抗: 1: 1500稀释, 4℃ 孵育过夜. 二抗: HRP标记山羊抗兔IgG (H+L) (货号GB23303), 1: 200稀释, 室温孵育1小时. |
|
|
IHC检测ARD1A蛋白(货号 GB11808). 样品: 大鼠睾丸, 4%多聚甲醛 (货号G1101) 固定12-24小时. 抗原修复: 柠檬酸抗原修复液(干粉, pH 6.0) (G1201), 98℃, 20分钟. —抗: 1: 1500稀释, 4℃ 孵育过夜. 二抗: HRP标记山羊抗兔IgG (H+L) (货号GB23303), 1: 200稀释, 室温孵育1小时. |
储存
| 储存条件 | 在-20℃下储存一年, 避免反复冻融. |
| 储存缓冲液 | 含0.15% ProClin300防腐剂, 100 μg/mL牛血清白蛋白和50%甘油的磷酸盐缓冲液. |
注意:
1.本产品仅供研究使用.
2.建议用一抗稀释液(G2025)稀释本产品.
| 货号 | 名称 | 规格 | 价格 | 操作 |
|---|
| 货号 | 名称 | 规格 | 价格 | 操作 |
|---|




