
Anti-BIVM Rabbit pAb
- 50 μL
产品信息
|
蛋白质全称 |
含碱性免疫球蛋白样可变基序蛋白 |
|
别名 |
Bivm, aminopeptidase like 1, KIAA1974, NPEPL1, Probable aminopeptidase NPEPL1 |
|
Uniprot ID |
Q8CBX9 |
|
免疫原 |
KLH偶联的小鼠BIVM合成肽 |
|
抗体亚型 |
IgG |
|
纯化方式 |
亲和纯化 |
|
亚细胞定位 |
细胞质, 细胞核 |
应用
| 应用 | 物种 | 稀释 | 阳性样品 |
| IHC/IF 免疫组织化学/免疫荧光 | 大鼠 | 1: 100-1: 400 | 肾 |
背景
NPEPL1, also referred to as aminopeptidase-like 1, is a 523 amino acid protein that belongs to the peptidase M17 family and is ubiquitously expressed. NPEPL1 may be involved in the processing, catabolism and degradation of intracellular proteins by catalyzing the removal of unsubstituted N-terminal amino acids from various peptides. NPEPL1 contains several zinc binding sites and and is expressed as three isoforms due to alternative splicing events.
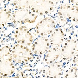
图像
|
|
IHC检测BIVM蛋白(货号 GB111895). 样品: 大鼠肾, 4%多聚甲醛 (货号G1101) 固定12-24小时. 抗原修复: 柠檬酸抗原修复液(干粉, pH 6.0) (G1201), 98℃, 20分钟. —抗: 1: 100稀释, 4℃ 孵育过夜. 二抗: HRP标记山羊抗兔IgG (H+L) (货号GB23303), 1: 200稀释, 室温孵育1小时. |
|
|
IF检测BIVM蛋白(货号 GB111895)(红色). 样品: 大鼠肾, 4%多聚甲醛 (货号G1101) 固定12-24小时. 抗原修复: Tris-EDTA抗原修复液(pH 9.0) (G1203), 98℃, 20分钟. 封闭: 3% BSA(货号GC305010)的PBS溶液, 室温孵育30分钟. —抗: 1: 200稀释, 4℃ 孵育过夜. 二抗: Cy3标记山羊抗兔IgG (H+L) (货号GB21303), 1: 300稀释, 室温孵育1小时. |
储存
| 储存条件 | 在-20℃下储存一年, 避免反复冻融. |
| 储存缓冲液 | 含0.15% ProClin300防腐剂, 100 μg/mL牛血清白蛋白和50%甘油的磷酸盐缓冲液. |
注意:
1.本产品仅供研究使用.
2.建议用一抗稀释液(G2025)稀释本产品.
| 货号 | 名称 | 规格 | 价格 | 操作 |
|---|
| 货号 | 名称 | 规格 | 价格 | 操作 |
|---|

