
Anti-CCRL2 Rabbit pAb
- 50 μL
产品信息
|
蛋白质全称 |
C-C趋化因子受体样2 |
|
别名 |
Chemokine receptor CCR11, G-protein coupled beta chemokine receptor, Lipopolysaccharide-inducible C-C chemokine receptor, L-CCR, Ccrl2, Ccr11, Lccr |
|
Uniprot ID |
O35457 |
|
免疫原 |
KLH偶联的小鼠CCRL2合成肽 |
|
抗体亚型 |
IgG |
|
纯化方式 |
亲和纯化 |
|
亚细胞定位 |
细胞膜 |
应用
| 应用 | 物种 | 稀释 | 阳性样品 |
| IHC/IF 免疫组织化学/免疫荧光 | 人, 小鼠, 大鼠 | 1: 150-1: 300 | 脑, 胎盘, 脾 |
背景
Receptor for CCL19 and chemerin/RARRES2. Does not appear to be a signaling receptor, but may have a role in modulating chemokine-triggered immune responses by capturing and internalizing CCL19 or by presenting RARRES2 ligand to CMKLR1, a functional signaling receptors. Plays a critical role for the development of Th2 responses.
图像
|
|
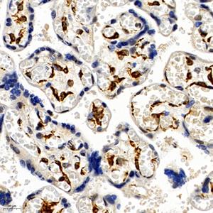
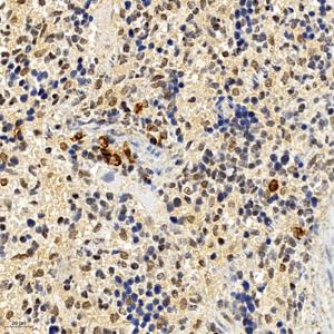
IHC检测CCRL2蛋白(货号 GB112260). 样品: 人胎盘, 4%多聚甲醛 (货号G1101) 固定12-24小时. 抗原修复: 柠檬酸抗原修复液(干粉, pH 6.0) (G1201), 98℃, 20分钟. —抗: 1: 300稀释, 4℃ 孵育过夜. 二抗: HRP标记山羊抗兔IgG (H+L) (货号GB23303), 1: 200稀释, 室温孵育1小时. |
|
|
IHC检测CCRL2蛋白(货号 GB112260). 样品: 小鼠脾, 4%多聚甲醛 (货号G1101) 固定12-24小时. 抗原修复: 柠檬酸抗原修复液(干粉, pH 6.0) (G1201), 98℃, 20分钟. —抗: 1: 300稀释, 4℃ 孵育过夜. 二抗: HRP标记山羊抗兔IgG (H+L) (货号GB23303), 1: 200稀释, 室温孵育1小时. |
|
|
IHC检测CCRL2蛋白(货号 GB112260). 样品: 大鼠脑, 4%多聚甲醛 (货号G1101) 固定12-24小时. 抗原修复: 柠檬酸抗原修复液(干粉, pH 6.0) (G1201), 98℃, 20分钟. —抗: 1: 300稀释, 4℃ 孵育过夜. 二抗: HRP标记山羊抗兔IgG (H+L) (货号GB23303), 1: 200稀释, 室温孵育1小时. |
储存
| 储存条件 | 在-20℃下储存一年, 避免反复冻融. |
| 储存缓冲液 | 含0.15% ProClin300防腐剂, 100 μg/mL牛血清白蛋白和50%甘油的磷酸盐缓冲液. |
注意:
1.本产品仅供研究使用.
2.建议用一抗稀释液(G2025)稀释本产品.
| 货号 | 名称 | 规格 | 价格 | 操作 |
|---|
| 货号 | 名称 | 规格 | 价格 | 操作 |
|---|


