
Anti-BCA1 Rabbit pAb
- 100 μL
产品信息
|
蛋白质全称 |
C-X-C基序趋化因子13 |
|
别名 |
CXCL13, ANGIE, ANGIE2, BCA-1, BCA1, BLC, BLR1L, SCYB13, C-X-C motif chemokine ligand 13 |
|
Uniprot ID |
O55038 |
|
免疫原 |
KLH偶联的小鼠BCA1合成肽 |
|
抗体亚型 |
IgG |
|
纯化方式 |
亲和纯化 |
|
亚细胞定位 |
分泌型 |
应用
| 应用 | 物种 | 稀释 | 阳性样品 |
| IHC/IF 免疫组织化学/免疫荧光 | 小鼠, 大鼠 | 1: 500-1: 2000 | 脑, 小脑, 纹状体 |
背景
CXCL13 is a small chemokine belonging to the CXC chemokine family. this chemokine is selectively chemotactic for B cells belonging to both the B-1 and B-2 subsets, and elicits its effects by interacting with chemokine receptor CXCR5. CXCL13 and its receptor CXCR5 control the organization of B cells within follicles of lymphoid tissues. In T lymphocytes, CXCL13 expression is thought to reflect a germinal center origin of the T cell, particularly a subset of T cells called follicular B helper T cells (or TFH cells).
图像
|
|
IHC检测BCA1蛋白(货号 GB11919). 样品: 小鼠脑, 4%多聚甲醛 (货号G1101) 固定12-24小时. 抗原修复: 柠檬酸抗原修复液(干粉, pH 6.0) (G1201), 98℃, 20分钟. —抗: 1: 2000稀释, 4℃ 孵育过夜. 二抗: HRP标记山羊抗兔IgG (H+L) (货号GB23303), 1: 200稀释, 室温孵育1小时. |
|
|
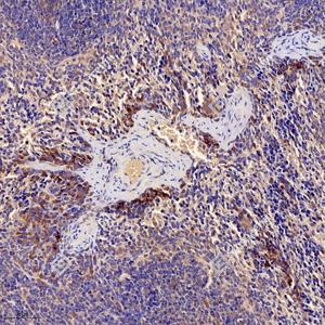
IHC检测BCA1蛋白(货号 GB11919). 样品: 小鼠脾, 4%多聚甲醛 (货号G1101) 固定12-24小时. 抗原修复: 柠檬酸抗原修复液(干粉, pH 6.0) (G1201), 98℃, 20分钟. —抗: 1: 2000稀释, 4℃ 孵育过夜. 二抗: HRP标记山羊抗兔IgG (H+L) (货号GB23303), 1: 200稀释, 室温孵育1小时. |
|
|
IHC检测BCA1蛋白(货号 GB11919). 样品: 大鼠小脑, 4%多聚甲醛 (货号G1101) 固定12-24小时. 抗原修复: 柠檬酸抗原修复液(干粉, pH 6.0) (G1201), 98℃, 20分钟. —抗: 1: 2000稀释, 4℃ 孵育过夜. 二抗: HRP标记山羊抗兔IgG (H+L) (货号GB23303), 1: 200稀释, 室温孵育1小时. |
|
|
IF检测BCA1蛋白(货号 GB11919)(红色). 样品: 小鼠胃, 4%多聚甲醛 (货号G1101) 固定12-24小时. 抗原修复: Tris-EDTA抗原修复液(pH 9.0) (G1203), 98℃, 20分钟. 封闭: 3% BSA(货号GC305010)的PBS溶液, 室温孵育30分钟. —抗: 1: 1000稀释, 4℃ 孵育过夜. 二抗: Cy3标记山羊抗兔IgG (H+L) (货号GB21303), 1: 300稀释, 室温孵育1小时. |
储存
| 储存条件 | 在-20℃下储存一年, 避免反复冻融. |
| 储存缓冲液 | 含0.15% ProClin300防腐剂, 100 μg/mL牛血清白蛋白和50%甘油的磷酸盐缓冲液. |
注意:
1.本产品仅供研究使用.
2.建议用一抗稀释液(G2025)稀释本产品.
| 货号 | 名称 | 规格 | 价格 | 操作 |
|---|
| 货号 | 名称 | 规格 | 价格 | 操作 |
|---|



