
neun
- 100ul
Product Information
Description | NeuN rabbit polyclonal |
Protein full name | RNA binding protein fox-1 homolog 3 |
Synonyms | FOX3, HRNBP3, NeuN, RBFOX3 |
Immunogen | KLH conjugated Synthetic peptide corresponding to Mouse NeuN |
Isotype | IgG |
Purity | Affinity purification |
Predicted MW. | 41 kDa |
Observed MW. | 48 kDa |
Subcellular location | |
Uniprot ID | Q8BIF2 |
Applications
applications | species | dilution | Positive tissue |
WB | Mouse, Rat | 1: 500-1: 1000 | brain, cortex, hippocampus |
IHC | Mouse, Rat | 1: 500-1: 1000 | brain |
IF | Mouse, Rat | 1: 500-1: 1000 | brain, hippocampus |
Background
NeuN, encoded by FOX3, is a neuron-specific nuclear protein. Anti-NeuN stains exclusively neuronal cells in the central and peripheral nervous systems, especially postmitotic and differentiating neurons, as well as terminally differentiated neurons. Anti-NeuN has been used widely as a reliable tool to detect most postmitotic neuronal cell types. The immunohistochemical staining is primarily localized in the nucleus of the neurons with lighter staining in the cytoplasm.
Images
| Western blot analysis of NeuN (GB11138) at dilution of 1:1000 |
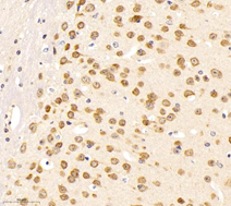
| Immunohistochemistry analysis of paraffin-embedded mouse brain using NeuN (GB11138) at dilution of 1:1000 |
| Immunohistochemistry analysis of paraffin-embedded rat brain using NeuN (GB11138) at dilution of 1:1000 |
| Immunofluorescent analysis of paraformaldehyde-fixed rat hippocampus using NeuN (GB11138) at dilution of 1:1000 |
| Immunofluorescent analysis of paraformaldehyde-fixed rat brain using NeuN (GB11138) (green) + IBA-1 (GB12105) (spred) + MAP2 (GB11128-2) (red) and Dapi in blue at dilution of 1:1000 |
| Immunofluorescent analysis of paraformaldehyde-fixed rat hippocampus using NeuN (GB11138) (green) + IBA-1 (GB12105) (red) +MBP (GB12226) (spred) + GFAP (GB11096) (yellow) and Dapi in blue at dilution of 1:1000 |
Storage
| Storage | Store at -20 ℃ for one year. Avoid repeated freeze/ thaw cycles. |
| Storage Buffer | PBS with 0.02% sodium azide, 100 μg/ml BSA and 50% glycerol. |
NOTE:
1.This product is intended for research only.
2.This product is recommended to dilute with the Primary Antibody Dilution Buffer (G2025).
| 货号 | 名称 | 规格 | 价格 | 操作 |
|---|
| 货号 | 名称 | 规格 | 价格 | 操作 |
|---|






