
IL-10
- 100ul
Product Information
Description | Il-10 rabbit polyclonal |
Protein full name | Interleukin-10 |
Synonyms | IL10, CSIF, GVHDS, IL-10, IL10A, TGIF, interleukin 10, Cytokine Synthesis Inhibitory Factor, Interleukin-10 precursor |
Immunogen | KLH conjugated Synthetic peptide corresponding to Mouse IL-10 |
Isotype | IgG |
Purity | Affinity purification |
Subcellular location | |
Uniprot ID | P22301, P29456 |
Applications
applications | species | dilution | Positive tissue |
IHC | Mouse, Rat | 1: 200-1: 1000 | spleen, lung |
IF | Mouse, Rat | 1: 200-1: 1000 | pneumonia, splenitis, spleen, thymus |
Background
IL-10 is a cytokine with multiple, pleiotropic, effects in immunoregulation and inflammation. It downregulates the expression of Th1 cytokines, MHC class II antigens, and co-stimulatory molecules on macrophages. It also enhances B cell survival, proliferation, and antibody production. IL-10 can block NF-κB activity, and is involved in the regulation of the JAK-STAT signaling pathway.
Images
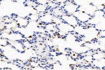
| Immunohistochemistry analysis of paraffin-embedded rat lung IL-10 (GB11108) at dilution of 1:300 |
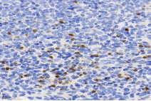
| Immunohistochemistry analysis of paraffin-embedded rat spleen IL-10 (GB11108) at dilution of 1:300 |
| Immunofluorescent analysis of paraformaldehyde-fixed rat pneumonia using IL-10 (GB11108) at dilution of 1: 300 |
| Immunofluorescent analysis of paraformaldehyde-fixed rat spleen using IL-10 (GB11108) at dilution of 1: 300 |
| Immunofluorescent analysis of paraformaldehyde-fixed rat splenitis using IL-10 (GB11108) at dilution of 1: 300 |
| Immunofluorescent analysis of paraformaldehyde-fixed rat thymus using IL-10 (GB11108) at dilution of 1: 300 |
Storage
| Storage | Store at -20 ℃ for one year. Avoid repeated freeze/ thaw cycles. |
| Storage Buffer | PBS with 0.02% sodium azide, 100 μg/ml BSA and 50% glycerol. |
NOTE:
1.This product is intended for research only.
2.This product is recommended to dilute with the Primary Antibody Dilution Buffer (G2025).
| 货号 | 名称 | 规格 | 价格 | 操作 |
|---|
| 货号 | 名称 | 规格 | 价格 | 操作 |
|---|






