
CD31
¥1650
货号:YB6028
品牌:YIKE
规格:
- 100ul
数量:
Product Information
| Gene Name | PECAM1 |
| Protein Name | Platelet endothelial cell adhesion molecule (PECAM-1) (EndoCAM) (GPIIA') (PECA1) (CD antigen CD31) |
| Human Gene Id | 5175 |
| Human Swiss Prot No | P16284 |
| Immunogen | Synthesized peptide derived from human CD31 |
| Specificity | This antibody detects endogenous levels of human CD31 |
| Source | Mouse/IgG1, Kappa |
| Concentration | 1 mg/ml |
| Purification | The antibody was affinity-purified from mouse ascites by affinity-chromatography using specific immunogen. |
Applications
| Applications | Species | Dilution | |
| IHC、IF | Human | 1:200-1:500 |
Background
Platelet and endothelial cell adhesion molecule 1 encoded by PECAM1 is found on the surface of platelets, monocytes, neutrophils, and some types of T-cells, and makes up a large portion of endothelial cell intercellular junctions. The encoded protein is a member of the immunoglobulin superfamily and is likely involved in leukocyte migration, angiogenesis, and integrin activation.
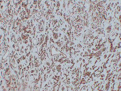
Images
| Immunohistochemical analysis of paraffin-embedded Hemangioendothelioma. 1, Antibody was diluted at 1:200(4°,overnight). 2, Citric acid ,pH6.0 was used for antigen retrieval. |
| Immunohistochemical analysis of paraffin-embedded Hemangioendothelioma. 1, Antibody was diluted at 1:200(4°,overnight). 2, Citric acid ,pH6.0 was used for antigen retrieval. |
Storage
| Storage | Store at -20 ℃ for one year. Avoid repeated freeze/thaw cycles. |
| Storage Buffer | Liquid in PBS containing 50% glycerol, 0.5% BSA and 0.02% sodium azide. |
NOTE:
1.This product is intended for research only.
2.This product is recommended to dilute with the Primary Antibody Dilution Buffer (G2025).
服务推荐
| 货号 | 名称 | 规格 | 价格 | 操作 |
|---|
产品推荐
| 货号 | 名称 | 规格 | 价格 | 操作 |
|---|


