
CK7
- 100ul
Product Information
Description | Cytokeratin 7 rabbit polyclonal |
Protein full name | Keratin, type II cytoskeletal 7 |
Synonyms | KRT7, CK7, K2C7, K7, SCL, keratin 7 |
Immunogen | KLH conjugated Synthetic peptide corresponding to Mouse Cytokeratin 7 |
Isotype | IgG |
Purity | Affinity purification |
Subcellular location | |
Uniprot ID |
Applications
Applications | Species | Dilution | Positive Tissue |
IHC | Human, Mouse, Rat | 1: 400-1: 800 | liver, kidney |
IF | Human, Mouse, Rat | 1: 400-1: 800 | liver, kidney |
Background
The protein encoded by this gene is a member of the keratin gene family. The type II cytokeratins consist of basic or neutral proteins which are arranged in pairs of heterotypic keratin chains coexpressed during differentiation of simple and stratified epithelial tissues. This type II cytokeratin is specifically expressed in the simple epithelia lining the cavities of the internal organs and in the gland ducts and blood vessels. The genes encoding the type II cytokeratins are clustered in a region of chromosome 12q12-q13. Alternative splicing may result in several transcript variants; however, not all variants have been fully described.
Images
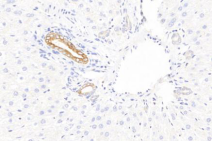
| Immunohistochemistry analysis of paraffin-embedded rat liver using Cytokeratin 7 (GB11225) at dilution of 1:400 |
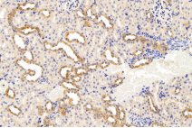
| Immunohistochemistry analysis of paraffin-embedded rat kidney using Cytokeratin 7 (GB11225) at dilution of 1:400 |
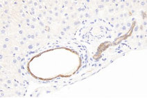
| Immunohistochemistry analysis of paraffin-embedded mouse liver using Cytokeratin 7 (GB11225) at dilution of 1:800 |
Storage
| Storage | Store at -20 ℃ for one year. Avoid repeated freeze/ thaw cycles. |
| Storage Buffer | PBS with 0.02% sodium azide, 100 μg/ml BSA and 50% glycerol. |
NOTE:
1.This product is intended for research only.
2.This product is recommended to dilute with the Primary Antibody Dilution Buffer (G2025).
| 货号 | 名称 | 规格 | 价格 | 操作 |
|---|
| 货号 | 名称 | 规格 | 价格 | 操作 |
|---|



