
Anti-Collagen I Rabbit pAb
- 100 μL
Product Information
| Description | CollagenI rabbit polyclonal |
| Protein full name | Collagen alpha-1(I) chain |
| Synonyms | COL1A1, EDSC, OI1, OI2, OI3, OI4, collagen type I alpha 1, collagen type I alpha 1 chain |
| Immunogen | KLH conjugated Synthetic peptide corresponding to Mouse COL1A1 |
| Isotype | IgG |
| Purity | Affinity purification |
| Subcellular location | Secreted |
| Uniprot ID |
Applications
Applications | Species | Dilution | Positive Tissue |
IHC | Human, Mouse, Rat | 1:200-1:2000 | bone,pancreas |
IF | Human, Mouse, Rat | 1:100-1:1000 | skin,bone |
Background
This gene encodes the pro-alpha1 chains of type I collagen whose triple helix comprises two alpha1 chains and one alpha2 chain. Type I is a fibril-forming collagen found in most connective tissues and is abundant in bone, cornea, dermis and tendon. Mutations in this gene are associated with osteogenesis imperfecta types I-IV, Ehlers-Danlos syndrome type VIIA, Ehlers-Danlos syndrome Classical type, Caffey Disease and idiopathic osteoporosis. Reciprocal translocations between chromosomes 17 and 22, where this gene and the gene for platelet-derived growth factor beta are located, are associated with a particular type of skin tumor called dermatofibrosarcoma protuberans, resulting from unregulated expression of the growth factor.
Images
|
|
Immunofluorescence analysis of paraffin-embedded rat skin using CollagenI (GB11022-1) at dilution of 1:200 |
|
|
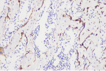
Immunohistochemistry analysis of paraffin-embedded mouse bone using CollagenI (GB11022-1) at dilution of 1:2000 |
|
|
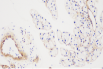
Immunohistochemistry analysis of paraffin-embedded mouse pancreas using CollagenI (GB11022-1) at dilution of 1:2000 |
Storage
| Storage | Store at -20 ℃ for one year. Avoid repeated freeze/ thaw cycles. |
| Storage Buffer | PBS with 0.02% sodium azide, 100 μg/ml BSA and 50% glycerol. |
NOTE:
1.This product is intended for research only.
2.This product is recommended to dilute with the Primary Antibody Dilution Buffer (G2025).
| 货号 | 名称 | 规格 | 价格 | 操作 |
|---|
| 货号 | 名称 | 规格 | 价格 | 操作 |
|---|











