
Anti-Estrogen Receptor alpha Rabbit pAb
- 100 μL
Product Information
Description | Estrogen Receptor alpha rabbit polyclonal |
Protein full name | Estrogen receptor |
Synonyms | ESR1, ER, ESR, ESRA, ESTRR, Era, NR3A1, estrogen receptor 1 |
Immunogen | KLH conjugated Synthetic peptide corresponding to Mouse ESR1 |
Isotype | IgG |
Predicted MW. | 67 kDa |
Observed MW. | 67 kDa |
Purity | Affinity purification |
Subcellular location | |
Uniprot ID | P19785, P03372 |
Applications
Applications | Species | Dilution | Positive Tissue |
WB | Human, Mouse, Rat | 1: 500-1: 1000 | MCF7, ovary |
IHC | Human, Mouse, Rat | 1: 200-1: 1000 | breast cancer |
IF | Human, Mouse, Rat | 1: 200-1: 1000 | uterus |
Background
This gene encodes an estrogen receptor, a ligand-activated transcription factor composed of several domains important for hormone binding, DNA binding, and activation of transcription. The protein localizes to the nucleus where it may form a homodimer or a heterodimer with estrogen receptor 2. Estrogen and its receptors are essential for sexual development and reproductive function, but also play a role in other tissues such as bone. Estrogen receptors are also involved in pathological processes including breast cancer, endometrial cancer, and osteoporosis. Alternative promoter usage and alternative splicing result in dozens of transcript variants, but the full-length nature of many of these variants has not been determined.
Images
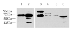
| Western blot analysis of ESR1 (GB11205) at dilution of 1: 1000. Lane 1: MCF7 cell lysate Lane 2: LNCaP cell lysate Lane 3: Human breast cancer tissue lysate Lane 4: Mouse ovary tissue lysate Lane 5: Mouse uterus tissue lysate Lane 6: Rat ovary tissue lysate |
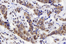
| Immunohistochemistry analysis of paraffin-embedded human breast cancer using ESR1 (GB11205) at dilution of 1: 500 |
![]() | Immunofluorescence analysis of paraffin-embedded human uterus using ESR1 (GB11205) at dilution of 1: 300 |
Storage
| Storage | Store at -20 ℃ for one year. Avoid repeated freeze/ thaw cycles. |
| Storage Buffer | PBS with 0.02% sodium azide, 100 μg/ml BSA and 50% glycerol. |
NOTE:
1.This product is intended for research only.
2.This product is recommended to dilute with the Primary Antibody Dilution Buffer (G2025).
| 货号 | 名称 | 规格 | 价格 | 操作 |
|---|
| 货号 | 名称 | 规格 | 价格 | 操作 |
|---|









