
Anti-Tmem18 Rabbit pAb
¥950
货号:YB115148-50
品牌:YIKE
规格:
- 50 μL
数量:
产品信息
|
蛋白质全称 |
跨膜蛋白18 |
|
别名 |
DKFZp434C1714 |
|
Uniprot ID |
Q3TUD9 |
|
免疫原 |
KLH偶联的小鼠Tmem18合成肽 |
|
抗体亚型 |
IgG |
|
纯化方式 |
亲和纯化 |
|
亚细胞定位 |
细胞质, 细胞核, 膜 |
应用
| 应用 | 物种 | 稀释 | 阳性样品 |
| IHC/IF 免疫组织化学/免疫荧光 | 人 | 1: 500-1: 2000 | 肺癌, 子宫内膜癌 |
背景
Transcription repressor. Sequence-specific ssDNA and dsDNA binding protein, with preference for GCT end CTG repeats. Cell migration modulator which enhances the glioma-specific migration ability of neural stem cells (NSC) and neural precursor cells (NPC) (By similarity).
图像
|
|
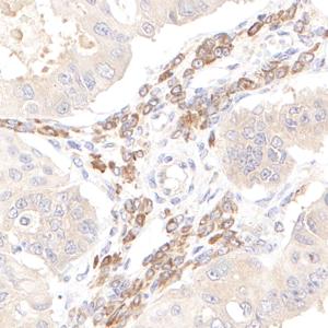
IHC检测Tmem18蛋白(货号 GB115137). 样品: 人子宫内膜癌, 4%多聚甲醛 (货号G1101) 固定12-24小时. 抗原修复: Tris-EDTA抗原修复液(pH 9.0) (G1203), 98℃, 20分钟. —抗: 1: 1000稀释, 4℃ 孵育过夜. 二抗: HRP标记山羊抗兔IgG (H+L) (货号GB23303), 1: 200稀释, 室温孵育1小时. |
|
|
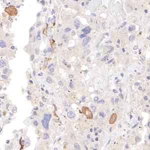
IHC检测Tmem18蛋白(货号 GB115137). 样品: 人肺癌, 4%多聚甲醛 (货号G1101) 固定12-24小时. 抗原修复: Tris-EDTA抗原修复液(pH 9.0) (G1203), 98℃, 20分钟. —抗: 1: 1000稀释, 4℃ 孵育过夜. 二抗: HRP标记山羊抗兔IgG (H+L) (货号GB23303), 1: 200稀释, 室温孵育1小时. |
储存
| 储存条件 | 在-20℃下储存一年, 避免反复冻融. |
| 储存缓冲液 | 含0.15% ProClin300防腐剂, 100 μg/mL牛血清白蛋白和50%甘油的磷酸盐缓冲液. |
注意:
1.本产品仅供研究使用.
2.建议用一抗稀释液(G2025)稀释本产品.
服务推荐
| 货号 | 名称 | 规格 | 价格 | 操作 |
|---|
产品推荐
| 货号 | 名称 | 规格 | 价格 | 操作 |
|---|

