
Anti-TMEM147 Rabbit pAb
- 50 μL
产品信息
|
蛋白质全称 |
跨膜蛋白147 |
|
别名 |
MGC1936, NIFIE14 |
|
Uniprot ID |
Q9CQG6 |
|
免疫原 |
KLH偶联的小鼠TMEM147合成肽 |
|
抗体亚型 |
IgG |
|
纯化方式 |
亲和纯化 |
|
亚细胞定位 |
内质网膜, 细胞膜 |
应用
| 应用 | 物种 | 稀释 | 阳性样品 |
| IHC/IF 免疫组织化学/免疫荧光 | 小鼠, 大鼠 | 1: 800-1: 2400 | 肝, 肺, 脾 |
背景
Component of a ribosome-associated endoplasmic reticulum (ER) translocon complex involved in multi-pass membrane protein transport into the ER membrane and biogenesis. Together with SEC61 and TMCO1, forms the lipid-filled cavity at the center of the translocon where TMEM147 may insert hydrophobic segments of mutli-pass membrane proteins from the lumen into de central membrane cavity in a process gated by SEC61, and TMCO1 may insert hydrophobic segments of nascent chains from the cytosol into the cavity. Acts as a negative regulator of CHRM3 function, most likely by interfering with its trafficking to the cell membrane. Negatively regulates CHRM3-mediated calcium mobilization and activation of RPS6KA1/p90RSK activity. {ECO:0000250|UniProtKB:Q9BVK8}.
图像
|
|
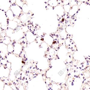
IHC检测TMEM147蛋白(货号 GB115306). 样品: 小鼠肺, 4%多聚甲醛 (货号G1101) 固定12-24小时. 抗原修复: Tris-EDTA抗原修复液(pH 9.0) (G1203), 98℃, 20分钟. —抗: 1: 800稀释, 4℃ 孵育过夜. 二抗: HRP标记山羊抗兔IgG (H+L) (货号GB23303), 1: 200稀释, 室温孵育1小时. |
|
|
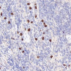
IHC检测TMEM147蛋白(货号 GB115306). 样品: 大鼠脾, 4%多聚甲醛 (货号G1101) 固定12-24小时. 抗原修复: Tris-EDTA抗原修复液(pH 9.0) (G1203), 98℃, 20分钟. —抗: 1: 800稀释, 4℃ 孵育过夜. 二抗: HRP标记山羊抗兔IgG (H+L) (货号GB23303), 1: 200稀释, 室温孵育1小时. |
储存
| 储存条件 | 在-20℃下储存一年, 避免反复冻融. |
| 储存缓冲液 | 含0.15% ProClin300防腐剂, 100 μg/mL牛血清白蛋白和50%甘油的磷酸盐缓冲液. |
注意:
1.本产品仅供研究使用.
2.建议用一抗稀释液(G2025)稀释本产品.
| 货号 | 名称 | 规格 | 价格 | 操作 |
|---|
| 货号 | 名称 | 规格 | 价格 | 操作 |
|---|

