全国400热线:400-8252586

Product Image

Anti-RALBP1 Rabbit pAb

¥1650
货号:YB115609-100
品牌:YIKE
规格:
  • 100 μL
数量:

产品信息


蛋白质全称

RalA结合蛋白1

别名

76 kDa Ral interacting protein, DNP SG ATPase, Ral interacting protein 1, ralA binding protein 1, RALBP1, RIP1

Uniprot ID

Q62172

免疫原

KLH偶联的小鼠RALBP1合成肽

抗体亚型

IgG

纯化方式

亲和纯化

亚细胞定位

细胞膜, 细胞质, 细胞骨架




应用


应用 物种 稀释 阳性样品
IHC/IF 免疫组织化学/免疫荧光 人, 小鼠, 大鼠 1: 150-1: 600 心, 肾, 肺




背景

Multifunctional protein that functions as a downstream effector of RALA and RALB. As a GTPase-activating protein/GAP can inactivate CDC42 and RAC1 by stimulating their GTPase activity. As part of the Ral signaling pathway, may also regulate ligand-dependent EGF and insulin receptors-mediated endocytosis. During mitosis, may act as a scaffold protein in the phosphorylation of EPSIN/EPN1 by the mitotic kinase cyclin B-CDK1, preventing endocytosis during that phase of the cell cycle. During mitosis, also controls mitochondrial fission as an effector of RALA. Recruited to mitochondrion by RALA, acts as a scaffold to foster the mitotic kinase cyclin B-CDK1-mediated phosphorylation and activation of DNM1L. Could also function as a primary ATP-dependent active transporter for glutathione conjugates of electrophiles. May also actively catalyze the efflux of a wide range of substrates including xenobiotics like doxorubicin contributing to cell multidrug resistance.




图像

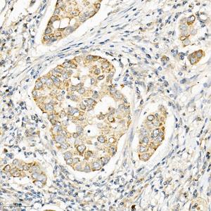
IHC检测RALBP1蛋白(货号 GB115598).
样品: 人肾, 4%多聚甲醛 (货号G1101) 固定12-24小时.
抗原修复: Tris-EDTA抗原修复液(pH 9.0) (G1203), 98℃, 20分钟.
—抗: 1: 150稀释, 4℃ 孵育过夜.
二抗: HRP标记山羊抗兔IgG (H+L) (货号GB23303), 1: 200稀释, 室温孵育1小时.

IHC检测RALBP1蛋白(货号 GB115598).
样品: 人肺癌, 4%多聚甲醛 (货号G1101) 固定12-24小时.
抗原修复: Tris-EDTA抗原修复液(pH 9.0) (G1203), 98℃, 20分钟.
—抗: 1: 150稀释, 4℃ 孵育过夜.
二抗: HRP标记山羊抗兔IgG (H+L) (货号GB23303), 1: 200稀释, 室温孵育1小时.

IHC检测RALBP1蛋白(货号 GB115598).
样品: 小鼠骨骼肌, 4%多聚甲醛 (货号G1101) 固定12-24小时.
抗原修复: Tris-EDTA抗原修复液(pH 9.0) (G1203), 98℃, 20分钟.
—抗: 1: 150稀释, 4℃ 孵育过夜.
二抗: HRP标记山羊抗兔IgG (H+L) (货号GB23303), 1: 200稀释, 室温孵育1小时.

IHC检测RALBP1蛋白(货号 GB115598).
样品: 小鼠睾丸, 4%多聚甲醛 (货号G1101) 固定12-24小时.
抗原修复: Tris-EDTA抗原修复液(pH 9.0) (G1203), 98℃, 20分钟.
—抗: 1: 150稀释, 4℃ 孵育过夜.
二抗: HRP标记山羊抗兔IgG (H+L) (货号GB23303), 1: 200稀释, 室温孵育1小时.

IHC检测RALBP1蛋白(货号 GB115598).
样品: 大鼠骨骼肌, 4%多聚甲醛 (货号G1101) 固定12-24小时.
抗原修复: Tris-EDTA抗原修复液(pH 9.0) (G1203), 98℃, 20分钟.
—抗: 1: 150稀释, 4℃ 孵育过夜.
二抗: HRP标记山羊抗兔IgG (H+L) (货号GB23303), 1: 200稀释, 室温孵育1小时.




储存


储存条件 在-20℃下储存一年, 避免反复冻融.
储存缓冲液 含0.15% ProClin300防腐剂, 100 μg/mL牛血清白蛋白和50%甘油的磷酸盐缓冲液.


注意:

1.本产品仅供研究使用.

2.建议用一抗稀释液(G2025)稀释本产品.


相关产品

注意事项

  • 请在保质期内使用本产品
  • 请存放于阴凉干燥处,避免阳光直射
  • 使用前请仔细阅读产品说明书
  • 如有不适,请立即停止使用并咨询专业人士
服务推荐
货号名称规格价格操作
产品推荐
货号名称规格价格操作
广州一科生物科技有限公司
广州一科生物科技有限公司
电话:400-8252586
邮箱:weikexie@163.com
地址:广州市白云区白灰场南路润祥大厦B栋707
粤ICP备19145173号-1版权所有 All rights reserved 广州市一科生物科技有限公司
本公司产品仅供体外研究使用,不用于临床诊断!
  • 我的收藏
  • 咨询客服

    请填写您的信息,我们会尽快安排对应人员与您联系!

    单位名称:
    您的姓名:
    联系电话:
    咨询内容:
  • 联系电话

    客服电话:

    400-8252586

  • 返回顶部