
Anti-LYNX1 Rabbit pAb
- 50 μL
产品信息
|
蛋白质全称 |
Ly-6/神经毒素样蛋白1 |
|
别名 |
Ly6/neurotoxin 1, LYNX1, SLURP 2, SLURP2 |
|
Uniprot ID |
P0DP60 |
|
免疫原 |
KLH偶联的小鼠LYNX1合成肽 |
|
抗体亚型 |
IgG |
|
预测分子量./观测分子量. |
13 kDa / 15 kDa |
|
纯化方式 |
亲和纯化 |
|
亚细胞定位 |
细胞膜, 细胞突起 |
应用
| 应用 | 物种 | 稀释 | 阳性样品 |
| WB 免疫印迹 | 人, 小鼠, 大鼠 | 1: 500-1: 1000 | 脑, 肾, 胸腺 |
| IHC/IF 免疫组织化学/免疫荧光 | 大鼠 | 1: 500-1: 1500 | 脑 |
背景
Acts in different tissues through interaction to nicotinic acetylcholine receptors (nAChRs) . The proposed role as modulator of nAChR activity seems to be dependent on the nAChR subtype and stoichiometry, and to involve an effect on nAChR trafficking and its cell surface expression, and on single channel properties of the nAChR inserted in the plasma membrane.Modulates functional properties of nicotinic acetylcholine receptors (nAChRs) to prevent excessive excitation, and hence neurodegeneration. Enhances desensitization by increasing both the rate and extent of desensitization of alpha-4:beta-2-containing nAChRs and slowing recovery from desensitization. Promotes large amplitude ACh-evoked currents through alpha-4:beta-2 nAChRs . Is involved in regulation of the nAChR pentameric assembly in the endoplasmic reticulum.
图像
|
|
WB检测LYNX1蛋白(货号 GB115263). 样品: 经RIPA裂解液(货号G2002)处理的蛋白质. 封闭: 3%脱脂牛奶(货号GC310001)溶于TBST溶液, 室温孵育1小时. —抗: 1: 1000稀释, 4℃ 孵育过夜. 二抗: HRP标记山羊抗兔IgG (H+L) (货号GB23303), 1: 5000稀释, 室温孵育1小时. |
|
|
WB检测LYNX1蛋白(货号 GB115263). 样品: 经RIPA裂解液(货号G2002)处理的蛋白质. 封闭: 3%脱脂牛奶(货号GC310001)溶于TBST溶液, 室温孵育1小时. —抗: 1: 1000稀释, 4℃ 孵育过夜. 二抗: HRP标记山羊抗兔IgG (H+L) (货号GB23303), 1: 5000稀释, 室温孵育1小时. |
|
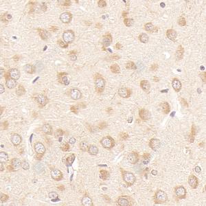
|
IHC检测LYNX1蛋白(货号 GB115263). 样品: 大鼠脑, 4%多聚甲醛 (货号G1101) 固定12-24小时. 抗原修复: Tris-EDTA抗原修复液(pH 9.0) (G1203), 98℃, 20分钟. —抗: 1: 1500稀释, 4℃ 孵育过夜. 二抗: HRP标记山羊抗兔IgG (H+L) (货号GB23303), 1: 200稀释, 室温孵育1小时. |
储存
| 储存条件 | 在-20℃下储存一年, 避免反复冻融. |
| 储存缓冲液 | 含0.15% ProClin300防腐剂, 100 μg/mL牛血清白蛋白和50%甘油的磷酸盐缓冲液. |
注意:
1.本产品仅供研究使用.
2.建议用一抗稀释液(G2025)稀释本产品.
| 货号 | 名称 | 规格 | 价格 | 操作 |
|---|
| 货号 | 名称 | 规格 | 价格 | 操作 |
|---|


