
Anti-HIPPI/IFT57 Rabbit pAb
- 50 μL
产品信息
|
蛋白质全称 |
鞭毛内运输蛋白57同源物 |
|
别名 |
DERP8, ESRRBL1, HIP1-interacting protein, HIPPI, IFT57, MHS4R2, Dermal papilla derived protein 8, Huntingtin interacting protein 1 protein interactor, MHS4R2, Vestrogen related receptor beta like 1 |
|
Uniprot ID |
Q8BXG3 |
|
免疫原 |
小鼠HIPPI/IFT57重组蛋白 |
|
抗体亚型 |
IgG |
|
纯化方式 |
亲和纯化 |
|
亚细胞定位 |
细胞质, 细胞骨架, 高尔基体, 细胞突起 |
应用
| 应用 | 物种 | 稀释 | 阳性样品 |
| IHC/IF 免疫组织化学/免疫荧光 | 大鼠 | 1: 2000-1: 4000 | 结肠 |
背景
IFT57, also named as DERP8, ESRRBL1, HIPPI and MHS4R2, belongs to the IFT57 family. It is required for the formation of cilia. IFT57 plays an indirect role in sonic hedgehog signaling, cilia being required for all activity of the hedgehog pathway. It is a component of IFT complex B which composed of IFT88, IFT57, TRAF3IP1, IFT52, IFT27, HSPB11 and IFT20. In contrast to BBS proteins, IFT57 and IFT88 is found in almost every cilium.
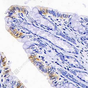
图像
|
|
IHC检测HIPPI/IFT57蛋白(货号 GB113605). 样品: 大鼠结肠, 4%多聚甲醛 (货号G1101) 固定12-24小时. 抗原修复: 柠檬酸抗原修复液(干粉, pH 6.0) (G1201), 98℃, 20分钟. —抗: 1: 3000稀释, 4℃ 孵育过夜. 二抗: HRP标记山羊抗兔IgG (H+L) (货号GB23303), 1: 200稀释, 室温孵育1小时. |
储存
| 储存条件 | 在-20℃下储存一年, 避免反复冻融. |
| 储存缓冲液 | 含0.15% ProClin300防腐剂, 100 μg/mL牛血清白蛋白和50%甘油的磷酸盐缓冲液. |
注意:
1.本产品仅供研究使用.
2.建议用一抗稀释液(G2025)稀释本产品.
| 货号 | 名称 | 规格 | 价格 | 操作 |
|---|
| 货号 | 名称 | 规格 | 价格 | 操作 |
|---|
