
Anti-Factor XIIIa Rabbit pAb
- 50 μL
产品信息
|
蛋白质全称 |
凝血因子XIII A链 |
|
别名 |
Coagulation factor XIIIa, Protein-glutamine gamma-glutamyltransferase A chain, F13A, F13A1, Factor XIIIA, Transglutaminase A chain |
|
Uniprot ID |
Q8BH61 |
|
免疫原 |
小鼠Factor XIIIa重组蛋白 |
|
抗体亚型 |
IgG |
|
纯化方式 |
亲和纯化 |
|
亚细胞定位 |
细胞质, 分泌型 |
应用
| 应用 | 物种 | 稀释 | 阳性样品 |
| IHC/IF 免疫组织化学/免疫荧光 | 小鼠 | 1: 1200-1: 2400 | 肺, 脾 |
背景
Factor XIIIa is a blood proenzyme that catalyzes intermolecular cross-linking of fibrinogen and is involved in clotting cascade. It has been identified in various tissues including placenta, uterus, and prostate. Anti- Factor XIIIa has been found to be useful in differentiating between dermatofibroma (90% positive) and desmoplastic malignant melanoma (negative). Factor XIIIa positivity is also seen in capillary hemagioblastoma, hemangioendothelioma, hemangiopericytoma, xanthogranuloma, xanthoma, hepatocellular carcinoma, glomus tumor , and meningioma.
图像
|
|
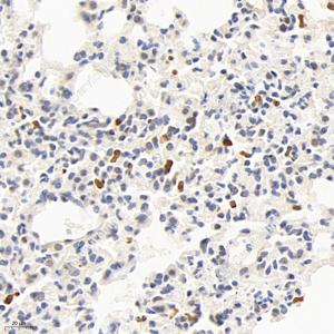
IHC检测Factor XIIIa蛋白(货号 GB113293). 样品: 小鼠肺, 4%多聚甲醛 (货号G1101) 固定12-24小时. 抗原修复: 柠檬酸抗原修复液(干粉, pH 6.0) (G1201), 98℃, 20分钟. —抗: 1: 1200稀释, 4℃ 孵育过夜. 二抗: HRP标记山羊抗兔IgG (H+L) (货号GB23303), 1: 200稀释, 室温孵育1小时. |
|
|
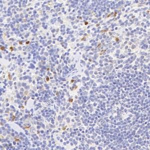
IHC检测Factor XIIIa蛋白(货号 GB113293). 样品: 小鼠脾, 4%多聚甲醛 (货号G1101) 固定12-24小时. 抗原修复: 柠檬酸抗原修复液(干粉, pH 6.0) (G1201), 98℃, 20分钟. —抗: 1: 1200稀释, 4℃ 孵育过夜. 二抗: HRP标记山羊抗兔IgG (H+L) (货号GB23303), 1: 200稀释, 室温孵育1小时. |
储存
| 储存条件 | 在-20℃下储存一年, 避免反复冻融. |
| 储存缓冲液 | 含0.15% ProClin300防腐剂, 100 μg/mL牛血清白蛋白和50%甘油的磷酸盐缓冲液. |
注意:
1.本产品仅供研究使用.
2.建议用一抗稀释液(G2025)稀释本产品.
| 货号 | 名称 | 规格 | 价格 | 操作 |
|---|
| 货号 | 名称 | 规格 | 价格 | 操作 |
|---|

