
Anti-Hemoglobin subunit beta/ba1 Rabbit pAb
- 50 μL
产品信息
|
蛋白质全称 |
血红蛋白β亚基 |
|
别名 |
Beta-globin, CD113t-C, HBB, Hemoglobin beta chain, hemoglobin, beta, LVV-hemorphin-7, Spinorphin, Gamma 1 globin, HSGGL1, HBGR, HBGA, HBG1, HBA-T2, HBA |
|
Uniprot ID |
P68871 |
|
免疫原 |
小鼠HBB重组蛋白 |
|
抗体亚型 |
IgG |
|
纯化方式 |
亲和纯化 |
|
亚细胞定位 |
细胞质, 分泌型 |
应用
| 应用 | 物种 | 稀释 | 阳性样品 |
| IHC/IF 免疫组织化学/免疫荧光 | 人 | 1: 4000-1: 8000 | 结肠癌, 卵巢癌 |
背景
The hemoglobin molecule is a tetramer consisting of two alpha- and two beta-globin-like chains. HBB gene encodes hemoglobin beta chain. The hemoglobin chains, each with its own heme moiety, cooperate in binding and release of oxygen. Hemoglobin monomers have been found in blood and other tissues including macrophages, alveolar epithelial cells and brain. Defects in HBB have been linked to diseases including Sickle cell anemia, Beta-thalassemia, and Heinz body anemias. This antibody, raised against the full-length human HBB, recognizes the 13-16 kDa HBB in western blot analyses of human heart and placenta.
图像
|
|
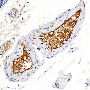
IHC检测Hemoglobin subunit beta/ba1蛋白(货号 GB113867). 样品: 人结肠癌, 4%多聚甲醛 (货号G1101) 固定12-24小时. 抗原修复: 柠檬酸抗原修复液(干粉, pH 6.0) (G1201), 98℃, 20分钟. —抗: 1: 8000稀释, 4℃ 孵育过夜. 二抗: HRP标记山羊抗兔IgG (H+L) (货号GB23303), 1: 200稀释, 室温孵育1小时. |
|
|
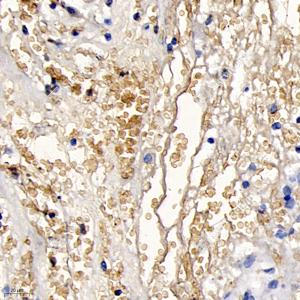
IHC检测Hemoglobin subunit beta/ba1蛋白(货号 GB113867). 样品: 人卵巢癌, 4%多聚甲醛 (货号G1101) 固定12-24小时. 抗原修复: 柠檬酸抗原修复液(干粉, pH 6.0) (G1201), 98℃, 20分钟. —抗: 1: 8000稀释, 4℃ 孵育过夜. 二抗: HRP标记山羊抗兔IgG (H+L) (货号GB23303), 1: 200稀释, 室温孵育1小时. |
储存
| 储存条件 | 在-20℃下储存一年, 避免反复冻融. |
| 储存缓冲液 | 含0.15% ProClin300防腐剂, 100 μg/mL牛血清白蛋白和50%甘油的磷酸盐缓冲液. |
注意:
1.本产品仅供研究使用.
2.建议用一抗稀释液(G2025)稀释本产品.
| 货号 | 名称 | 规格 | 价格 | 操作 |
|---|
| 货号 | 名称 | 规格 | 价格 | 操作 |
|---|

