
Anti-Fibrinogen alpha chain Rabbit pAb
¥950
货号:YB112099-50
品牌:YIKE
规格:
- 50 μL
数量:
产品信息
蛋白质全称 | 纤维蛋白原α链 |
别名 | Fga, Fba5e, Ac1873, Fib2, Fibrinopeptide A, Fib |
Uniprot ID | |
免疫原 | KLH偶联的小鼠Fibrinogen alpha chain合成肽 |
抗体亚型 | IgG |
纯化方式 | 亲和纯化 |
亚细胞定位 | 分泌型 |
应用
| 应用 | 物种 | 稀释 | 阳性样品 |
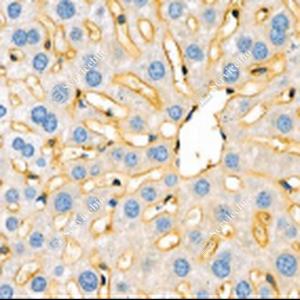
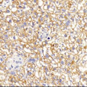
| IHC/IF 免疫组织化学/免疫荧光 | 小鼠 | 1: 100-1: 200 | 肝, 胎盘 |
背景
Cleaved by the protease thrombin to yield monomers which, together with fibrinogen beta (FGB) and fibrinogen gamma (FGG), polymerize to form an insoluble fibrin matrix. Fibrin has a major function in hemostasis as one of the primary components of blood clots . Fibrin deposition is also associated with infection, where it protects against IFNG-mediated hemorrhage . May also facilitate the immune response via both innate and T-cell mediated pathways .
图像
| IHC检测Fibrinogen alpha chain蛋白(货号 GB112088). 样品: 小鼠肝, 4%多聚甲醛 (货号G1101) 固定12-24小时. 抗原修复: 柠檬酸抗原修复液(干粉, pH 6.0) (G1201), 98℃, 20分钟. —抗: 1: 150稀释, 4℃ 孵育过夜. 二抗: HRP标记山羊抗兔IgG (H+L) (货号GB23303), 1: 200稀释, 室温孵育1小时. |
| IHC检测Fibrinogen alpha chain蛋白(货号 GB112088). 样品: 小鼠胎盘, 4%多聚甲醛 (货号G1101) 固定12-24小时. 抗原修复: 柠檬酸抗原修复液(干粉, pH 6.0) (G1201), 98℃, 20分钟. —抗: 1: 150稀释, 4℃ 孵育过夜. 二抗: HRP标记山羊抗兔IgG (H+L) (货号GB23303), 1: 200稀释, 室温孵育1小时. |
储存
| 储存条件 | 在-20℃下储存一年, 避免反复冻融. |
| 储存缓冲液 | 含0.15% ProClin300防腐剂, 100 μg/mL牛血清白蛋白和50%甘油的磷酸盐缓冲液. |
注意:
1.本产品仅供研究使用.
2.建议用一抗稀释液(G2025)稀释本产品.
服务推荐
| 货号 | 名称 | 规格 | 价格 | 操作 |
|---|
产品推荐
| 货号 | 名称 | 规格 | 价格 | 操作 |
|---|

