
Anti-Prosurfactant Protein C Rabbit pAb
- 50 μL
产品信息
蛋白质全称 | 肺表面活性物质相关蛋白C |
别名 | PSP C, SFTP2, SFTPC, SMDP2, SPC, SP5, surfactant protein C, Pulmonary surfactant-associated proteolipid SPL(Val), BRICD6, BRICHOS domain containing 6 |
Uniprot ID | P21841 |
免疫原 | KLH偶联的小鼠Prosurfactant Protein C合成肽 |
抗体亚型 | IgG |
预测分子量./观测分子量. | 21 kDa / 21 kDa |
纯化方式 | 亲和纯化 |
亚细胞定位 | 分泌型 |
应用
| 应用 | 物种 | 稀释 | 阳性样品 |
| WB 免疫印迹 | 小鼠, 大鼠 | 1: 100-1: 300 | 肺 |
| IHC/IF 免疫组织化学/免疫荧光 | 小鼠 | 1: 300-1: 1200 | 肺 |
背景
SFTPC (surfactant protein C), also named as SFTP2, SP5 and SP-C, is a pulmonary surfactant associated proteins promote alveolar stability by lowering the surface tension at the air-liquid interface in the peripheral air spaces. Defects in SFTPC are the cause of pulmonary surfactant metabolism dysfunction type 2 (SMDP2). Genetic variations in SFTPC are associated with respiratory distress syndrome in premature infants (RDS).
图像
| WB检测Prosurfactant Protein C蛋白(货号 GB114201). 样品: 经RIPA裂解液(货号G2002)处理的蛋白质. 封闭: 3%脱脂牛奶(货号GC310001)溶于TBST溶液, 室温孵育1小时. —抗: 1: 300稀释, 4℃ 孵育过夜. 二抗: HRP标记山羊抗兔IgG (H+L) (货号GB23303), 1: 5000稀释, 室温孵育1小时. |
| WB检测Prosurfactant Protein C蛋白(货号 GB114201). 样品: 经RIPA裂解液(货号G2002)处理的蛋白质. 封闭: 3%脱脂牛奶(货号GC310001)溶于TBST溶液, 室温孵育1小时. —抗: 1: 300稀释, 4℃ 孵育过夜. 二抗: HRP标记山羊抗兔IgG (H+L) (货号GB23303), 1: 5000稀释, 室温孵育1小时. |
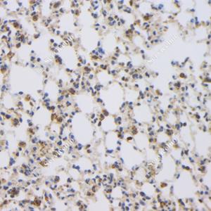
| IHC检测Prosurfactant Protein C蛋白(货号 GB114201). 样品: 小鼠肺, 4%多聚甲醛 (货号G1101) 固定12-24小时. 抗原修复: 柠檬酸抗原修复液(干粉, pH 6.0) (G1201), 98℃, 20分钟. —抗: 1: 1200稀释, 4℃ 孵育过夜. 二抗: HRP标记山羊抗兔IgG (H+L) (货号GB23303), 1: 200稀释, 室温孵育1小时. |
储存
| 储存条件 | 在-20℃下储存一年, 避免反复冻融. |
| 储存缓冲液 | 含0.15% ProClin300防腐剂, 100 μg/mL牛血清白蛋白和50%甘油的磷酸盐缓冲液. |
注意:
1.本产品仅供研究使用.
2.建议用一抗稀释液(G2025)稀释本产品.
| 货号 | 名称 | 规格 | 价格 | 操作 |
|---|
| 货号 | 名称 | 规格 | 价格 | 操作 |
|---|


