
Anti-NALP4 Rabbit pAb
¥950
货号:YB112720-50
品牌:YIKE
规格:
- 50 μL
数量:
产品信息
|
蛋白质全称 |
NACHT-LRR-PYD结构域蛋白4A |
|
别名 |
NALP-ita, Nlrp4a, Nalp4a |
|
Uniprot ID |
Q8BU40 |
|
免疫原 |
小鼠NALP4重组蛋白 |
|
抗体亚型 |
IgG |
|
纯化方式 |
亲和纯化 |
|
亚细胞定位 |
细胞质 |
应用
| 应用 | 物种 | 稀释 | 阳性样品 |
| IHC/IF 免疫组织化学/免疫荧光 | 大鼠 | 1: 4800-1: 9600 | 肠炎 |
背景
May be involved in inflammation and recognition of cytosolic pathogen-associated molecular patterns (PAMPs) not intercepted by membrane-bound receptors.
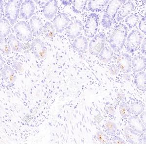
图像
|
|
IHC检测NALP4蛋白(货号 GB112709). 样品: 大鼠肠炎, 4%多聚甲醛 (货号G1101) 固定12-24小时. 抗原修复: 柠檬酸抗原修复液(干粉, pH 6.0) (G1201), 98℃, 20分钟. —抗: 1: 4800稀释, 4℃ 孵育过夜. 二抗: HRP标记山羊抗兔IgG (H+L) (货号GB23303), 1: 200稀释, 室温孵育1小时. |
储存
| 储存条件 | 在-20℃下储存一年, 避免反复冻融. |
| 储存缓冲液 | 含0.15% ProClin300防腐剂, 100 μg/mL牛血清白蛋白和50%甘油的磷酸盐缓冲液. |
注意:
1.本产品仅供研究使用.
2.建议用一抗稀释液(G2025)稀释本产品.
服务推荐
| 货号 | 名称 | 规格 | 价格 | 操作 |
|---|
产品推荐
| 货号 | 名称 | 规格 | 价格 | 操作 |
|---|
