
Anti-Otx2 Rabbit pAb
- 100 μL
产品信息
|
蛋白质全称 |
同源盒蛋白OTX2 |
|
别名 |
Orthodenticle homolog 2, Otx2, Otx-2, CPHD6, MCOPS5, Orthodenticle 2 |
|
Uniprot ID |
P80206 |
|
免疫原 |
小鼠Otx2重组蛋白 |
|
抗体亚型 |
IgG |
|
纯化方式 |
亲和纯化 |
|
亚细胞定位 |
细胞核 |
应用
| 应用 | 物种 | 稀释 | 阳性样品 |
| IHC/IF 免疫组织化学/免疫荧光 | 小鼠, 大鼠 | 1: 600-1: 1200 | 胚胎小鼠, 胚胎大鼠, 眼球 |
背景
The orthodenticle homeobox 2, encoded by OTX2 gene, is a key transcription factor in developmental processes. In particular, it is required for the early specification of the brain and the embryonic development of sensory organs, including the, pineal gland, pituitary gland, inner part of the ear, eyes, and optic nerve. In later stages, it is important for maintaining intact retina and brain function. In addition, it acts as a transcriptional repressor and a gatekeeper of myogenic and neuronal differentiation in medulloblastoma cells.
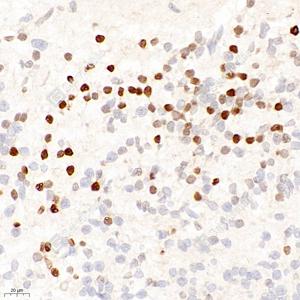
图像
|
|
IHC检测Otx2蛋白(货号 GB112574). 样品: 小鼠胚胎小鼠, 4%多聚甲醛 (货号G1101) 固定12-24小时. 抗原修复: Tris-EDTA抗原修复液(pH 9.0) (G1203), 98℃, 20分钟. —抗: 1: 600稀释, 4℃ 孵育过夜. 二抗: HRP标记山羊抗兔IgG (H+L) (货号GB23303), 1: 200稀释, 室温孵育1小时. |
|
|
IHC检测Otx2蛋白(货号 GB112574). 样品: 小鼠眼球, 4%多聚甲醛 (货号G1101) 固定12-24小时. 抗原修复: Tris-EDTA抗原修复液(pH 9.0) (G1203), 98℃, 20分钟. —抗: 1: 600稀释, 4℃ 孵育过夜. 二抗: HRP标记山羊抗兔IgG (H+L) (货号GB23303), 1: 200稀释, 室温孵育1小时. |
|
|
IHC检测Otx2蛋白(货号 GB112574). 样品: 大鼠胚胎大鼠, 4%多聚甲醛 (货号G1101) 固定12-24小时. 抗原修复: Tris-EDTA抗原修复液(pH 9.0) (G1203), 98℃, 20分钟. —抗: 1: 600稀释, 4℃ 孵育过夜. 二抗: HRP标记山羊抗兔IgG (H+L) (货号GB23303), 1: 200稀释, 室温孵育1小时. |
|
|
IF检测Otx2蛋白(货号 GB112574)(红色). 样品: 小鼠胚胎小鼠, 4%多聚甲醛 (货号G1101) 固定12-24小时. 抗原修复: Tris-EDTA抗原修复液(pH 9.0) (G1203), 98℃, 20分钟. 封闭: 3% BSA(货号GC305010)的PBS溶液, 室温孵育30分钟. —抗: 1: 600稀释, 4℃ 孵育过夜. 二抗: Cy3标记山羊抗兔IgG (H+L) (货号GB21303), 1: 300稀释, 室温孵育1小时. |
储存
| 储存条件 | 在-20℃下储存一年, 避免反复冻融. |
| 储存缓冲液 | 含0.15% ProClin300防腐剂, 100 μg/mL牛血清白蛋白和50%甘油的磷酸盐缓冲液. |
注意:
1.本产品仅供研究使用.
2.建议用一抗稀释液(G2025)稀释本产品.
| 货号 | 名称 | 规格 | 价格 | 操作 |
|---|
| 货号 | 名称 | 规格 | 价格 | 操作 |
|---|



