
Anti-eNOS Mouse mAb
- 50 μL
产品信息
蛋白质全称 | 内皮型一氧化氮合酶 |
别名 | NOS3, ECNOS, eNOS, nitric oxide synthase 3 |
Uniprot ID | P70313 |
免疫原 | KLH偶联的小鼠eNOS合成肽 |
抗体亚型 | IgG1, κ |
克隆号 | 6D4E3 |
纯化方式 | 亲和纯化 |
亚细胞定位 | 细胞膜, 细胞质 |
应用
| 应用 | 物种 | 稀释 | 阳性样品 |
| IHC/IF 免疫组织化学/免疫荧光 | 人, 大鼠 | 1: 500-1: 2000 | 结肠, 心 |
背景
Endothelial nitric oxide synthase (eNOS), along with inducible nitric oxide synthase (iNOS) and neuronal nitric oxide synthase (nNOS), catalyze nitric oxide and L-citrulline generation from L-arginine and molecular oxygen. eNOS is activated at calcium concentrations over 100 nM.
图像
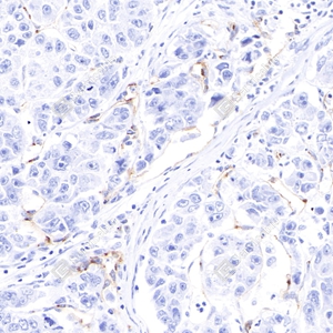
| IHC检测 eNOS蛋白(货号 GB12086). 样品: 人肝癌, 4%多聚甲醛 (货号G1101) 固定12-24小时. 抗原修复:抗原修复仪(货号 ARI-4),柠檬酸抗原修复液(干粉, pH 6.0) (G1201), 高压锅均匀喷气计时2分钟. —抗: 1: 1000稀释, 4℃ 孵育过夜. 二抗: S-vision免疫组化多聚二抗(山羊抗小鼠), 即用型(货号G1301), 室温孵育20分钟. |
| IHC检测 eNOS蛋白(货号 GB12086). 样品: 大鼠脑, 4%多聚甲醛 (货号G1101) 固定12-24小时. 抗原修复:抗原修复仪(货号 ARI-4),柠檬酸抗原修复液(干粉, pH 6.0) (G1201), 高压锅均匀喷气计时2分钟. —抗: 1: 1000稀释, 4℃ 孵育过夜. 二抗: S-vision免疫组化多聚二抗(山羊抗小鼠), 即用型(货号G1301), 室温孵育20分钟. |
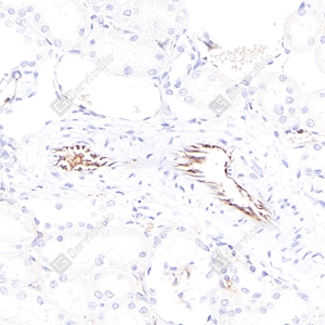
| IHC检测 eNOS蛋白(货号 GB12086). 样品: 大鼠肾, 4%多聚甲醛 (货号G1101) 固定12-24小时. 抗原修复:抗原修复仪(货号 ARI-4),柠檬酸抗原修复液(干粉, pH 6.0) (G1201), 高压锅均匀喷气计时2分钟. —抗: 1: 1000稀释, 4℃ 孵育过夜. 二抗: S-vision免疫组化多聚二抗(山羊抗小鼠), 即用型(货号G1301), 室温孵育20分钟. |
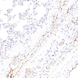
| IHC检测 eNOS蛋白(货号 GB12086). 样品: 大鼠肺, 4%多聚甲醛 (货号G1101) 固定12-24小时. 抗原修复:抗原修复仪(货号 ARI-4),柠檬酸抗原修复液(干粉, pH 6.0) (G1201), 高压锅均匀喷气计时2分钟. —抗: 1: 1000稀释, 4℃ 孵育过夜. 二抗: S-vision免疫组化多聚二抗(山羊抗小鼠), 即用型(货号G1301), 室温孵育20分钟. |
储存
| 储存条件 | 在-20℃下储存一年, 避免反复冻融. |
| 储存缓冲液 | 含0.15% ProClin300防腐剂, 100 μg/mL牛血清白蛋白和50%甘油的磷酸盐缓冲液. |
注意:
1.本产品仅供研究使用.
2.建议用一抗稀释液(G2025)稀释本产品.
| 货号 | 名称 | 规格 | 价格 | 操作 |
|---|
| 货号 | 名称 | 规格 | 价格 | 操作 |
|---|








