
Recombinant Anti-CD34 antibody (Rabbit mAb)
- 50 μL
产品信息
|
蛋白质全称 |
造血祖细胞抗原CD34 |
|
别名 |
CD34, HPCA1, Mucosialin, Cluster designation 34, cluster of differentiation 34, CD34 antigen, CD34 molecule |
|
Uniprot ID |
P28906 |
|
免疫原 |
KLH偶联的人CD34合成肽 |
|
抗体亚型 |
IgG, κ |
|
克隆号 |
SB163 |
|
纯化方式 |
亲和纯化 |
|
亚细胞定位 |
细胞膜 |
应用
| 应用 | 物种 | 稀释 | 阳性样品 |
| IHC/IF 免疫组织化学/免疫荧光 | 人 | 1: 500-1: 1000 | 肾 |
背景
CD34 is a 105- to 120-kDa glycophosphoprotein expressed on the majority of hematopoietic stem/progenitor cells, bone marrow stromal cells, capillary endothelial cells, embryonic fibroblasts, and some nerve tissue. CD34 is a commonly used marker for identifying human hematopoietic stem/progenitor cells and mediates cell adhesion and lymphocyte homing by binding L-selectin and E-selectin ligands. CD34 is also one of the best negative selection markers for characterizing and/or isolating human MSCs from bone marrow and other sources.
图像
|
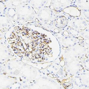
|
IHC检测CD34蛋白(货号 GB153798). 样品: 人肾, 4%多聚甲醛 (货号G1101) 固定12-24小时. 抗原修复: 柠檬酸抗原修复液(干粉, pH 6.0) (G1201), 高压锅均匀喷气计时2分钟. —抗: 1: 500稀释, 4℃ 孵育过夜. 二抗: HRP标记山羊抗兔IgG (H+L) (货号GB23303), 1: 200稀释, 室温孵育1小时. |
|
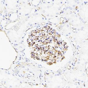
|
IHC检测CD34蛋白(货号 GB153798). 样品: 人肾, 4%多聚甲醛 (货号G1101) 固定12-24小时. 抗原修复: 柠檬酸抗原修复液(干粉, pH 6.0) (G1201), 高压锅均匀喷气计时2分钟. —抗: 1: 500稀释, 4℃ 孵育过夜. 二抗: HRP标记山羊抗兔IgG (H+L) (货号GB23303), 1: 200稀释, 室温孵育1小时. |
储存
| 储存条件 | 在-20℃下储存一年, 避免反复冻融. |
| 储存缓冲液 | 含0.15% ProClin300防腐剂, 100 μg/mL牛血清白蛋白和50%甘油的磷酸盐缓冲液. |
注意:
1.本产品仅供研究使用.
2.建议用一抗稀释液(G2025)稀释本产品.
| 货号 | 名称 | 规格 | 价格 | 操作 |
|---|
| 货号 | 名称 | 规格 | 价格 | 操作 |
|---|


