
Anti-CIKS/ACT1 Rabbit pAb
- 100 μL
产品信息
|
蛋白质全称 |
E3泛素连接酶TRAF3IP2 |
|
别名 |
ACT1, Adapter protein CIKS, C6orf2, C6orf4, C6orf5, C6orf6, CIKS, Connection to IKK and SAPK/JNK, TRAF3 interacting protein 2, TRAF3IP2 |
|
Uniprot ID |
Q8N7N6 |
|
免疫原 |
小鼠CIKS/ACT1重组蛋白 |
|
抗体亚型 |
IgG |
|
纯化方式 |
亲和纯化 |
|
亚细胞定位 |
细胞核, 细胞质, 分泌型 |
应用
| 应用 | 物种 | 稀释 | 阳性样品 |
| IHC/IF 免疫组织化学/免疫荧光 | 大鼠 | 1: 1800-1: 3600 | 脾 |
背景
This gene encodes a protein involved in regulating responses to cytokines by members of the Rel/NF-kappaB transcription factor family. These factors play a central role in innate immunity in response to pathogens, inflammatory signals and stress. This gene product interacts with TRAF proteins (tumor necrosis factor receptor-associated factors) and either I-kappaB kinase or MAP kinase to activate either NF-kappaB or Jun kinase. Several alternative transcripts encoding different isoforms have been identified. Another transcript, which does not encode a protein and is transcribed in the opposite orientation, has been identified.
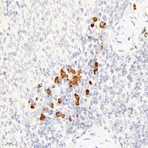
图像
|
|
IHC检测CIKS/ACT1蛋白(货号 GB113480). 样品: 大鼠脾, 4%多聚甲醛 (货号G1101) 固定12-24小时. 抗原修复: 柠檬酸抗原修复液(干粉, pH 6.0) (G1201), 98℃, 20分钟. —抗: 1: 1800稀释, 4℃ 孵育过夜. 二抗: HRP标记山羊抗兔IgG (H+L) (货号GB23303), 1: 200稀释, 室温孵育1小时. |
储存
| 储存条件 | 在-20℃下储存一年, 避免反复冻融. |
| 储存缓冲液 | 含0.15% ProClin300防腐剂, 100 μg/mL牛血清白蛋白和50%甘油的磷酸盐缓冲液. |
注意:
1.本产品仅供研究使用.
2.建议用一抗稀释液(G2025)稀释本产品.
| 货号 | 名称 | 规格 | 价格 | 操作 |
|---|
| 货号 | 名称 | 规格 | 价格 | 操作 |
|---|
